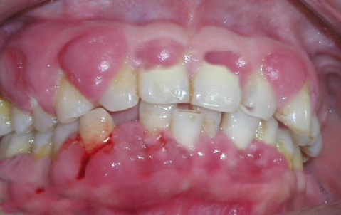
艾滋病牙龈

一张嘴就能看出是否得艾滋病你知道怎么诊断和鉴别诊断吗
图片尺寸640x480
口腔医学会专栏艾滋病口腔黏膜病损及治疗
图片尺寸641x428
这是艾滋病初期牙龈症状吗,没有任何不舒适感,就是很恐惧
图片尺寸375x500
今天才发现,这不会是艾滋病吧!
图片尺寸1040x780
好怕得了艾滋病,我要崩溃了,大家救救我吧
图片尺寸851x638![【专题讨论】大家看看这个患者是否有艾滋病 [病例帖]](https://i.ecywang.com/upload/1/img0.baidu.com/it/u=4000775969,1527721233&fm=253&fmt=auto&app=138&f=JPEG?w=640&h=480)
【专题讨论】大家看看这个患者是否有艾滋病 [病例帖]
图片尺寸640x480
特征性的表现是沿着牙龈边缘分布的界限清晰的火红色改变,看起来很像
图片尺寸489x227
最近牙龈经常出雪,刷牙时,滋牙时都会,之前出了好多,血是鲜红色,牙龈
图片尺寸768x1024
牙龈出血 hiv?
图片尺寸600x800![【专题讨论】大家看看这个患者是否有艾滋病 [病例帖]](https://i.ecywang.com/upload/1/img2.baidu.com/it/u=644934372,2798287638&fm=253&fmt=auto&app=138&f=JPEG?w=500&h=666)
【专题讨论】大家看看这个患者是否有艾滋病 [病例帖]
图片尺寸640x853
牙龈变黑怎么回事,和抽烟喝酒有关吗?怎样才能变回红色
图片尺寸1024x768
治疗牙齿感染艾滋病 这到底是不是谣言?
图片尺寸640x442
口腔黏膜脱落,请问我这是艾滋病?
图片尺寸360x480
一例吸烟所致的黑色牙龈良性病损
图片尺寸375x300
牙医需看如何做好艾滋病风险预防
图片尺寸479x302
上下门牙牙龈红肿出血半年多求怎么治疗有实拍图片
图片尺寸2592x1944
笑露出牙龈,好难看,请问能手术修正吗,和系带有关吗?大概多少钱
图片尺寸375x500
艾滋病初期指甲盖症状图片
图片尺寸716x500
卡波济肉瘤 是一种罕见的血管恶性肿瘤,是艾滋病患者最常见的口腔
图片尺寸489x226
520接吻前你要注意这些事
图片尺寸458x257