节细胞神经瘤

零基础学病理
图片尺寸1080x762
节细胞神经瘤:你需要知道的一切 🌱
图片尺寸856x1098
肠节细胞神经瘤1例
图片尺寸1080x810
这个颈部肿块(节细胞细胞瘤)
图片尺寸1013x720
肠节细胞神经瘤1例
图片尺寸1080x810
肠节细胞神经瘤1例
图片尺寸1269x952
肠节细胞神经瘤1例
图片尺寸1269x952
肠节细胞神经瘤1例
图片尺寸1080x810
肠节细胞神经瘤1例
图片尺寸1080x810
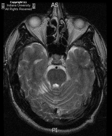
小脑发育不良性神经节细胞瘤!
图片尺寸1080x1234
肠节细胞神经瘤1例
图片尺寸759x619
肠节细胞神经瘤1例
图片尺寸1269x952
肠节细胞神经瘤1例
图片尺寸1080x841
肠节细胞神经瘤1例
图片尺寸1080x810
节细胞神经瘤
图片尺寸1080x1439
肠节细胞神经瘤1例
图片尺寸1080x810
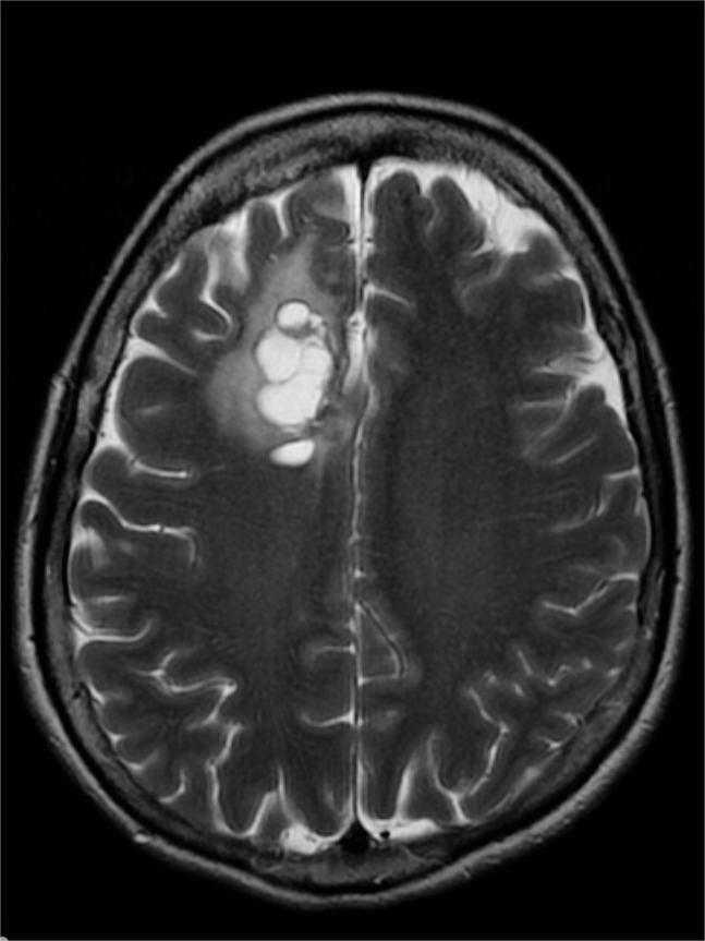
小脑皮质弥漫性神经节细胞瘤
图片尺寸477x576
腹膜后神经节细胞瘤
图片尺寸978x640
神经节细胞瘤,手术治疗是关键
图片尺寸647x863
小脑发育不良性神经节细胞瘤!
图片尺寸1080x1280