芬兰桥牙齿图片

大家来了解下芬力桥和马里兰桥,以及种植牙之间有啥区别,方便你在牙齿
图片尺寸500x333
扫盲粘接桥牙齿多少钱一颗能用多久粘结桥牙到底好不好
图片尺寸500x500
马里兰桥是替换掉的牙齿的有效方法,它可以将一颗假牙放在原来的位置
图片尺寸500x288
牙齿粘结修复容易出现哪些问题?_桥体
图片尺寸636x415
牙齿冠桥图片
图片尺寸451x300
牙桥也是一个好的选择_顺义博爱口腔_顺义牙齿种植/牙齿矫正/牙齿美白
图片尺寸500x333
详解粘接桥牙齿多少钱一颗为什么医生不建议做粘接桥
图片尺寸500x266
一例自体牙直接粘结桥修复11缺失病例_牙齿
图片尺寸640x466
牙齿冠桥图片
图片尺寸450x300
芬兰变态电动牙刷15秒清理整个口腔欧洲抢疯了
图片尺寸1023x599
插入的牙齿图片
图片尺寸450x300
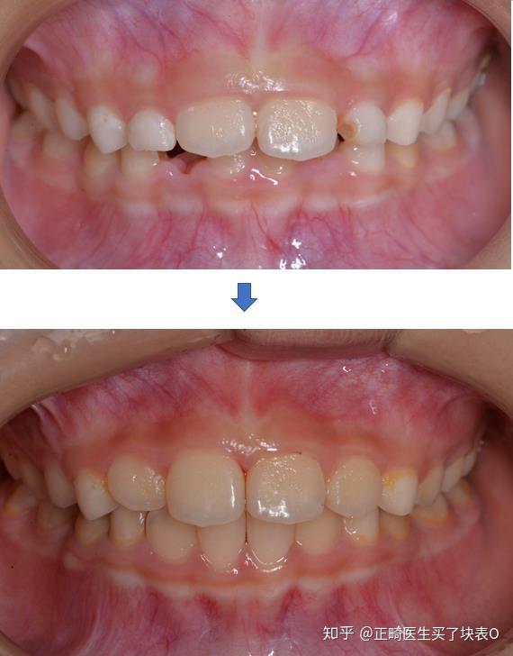
哪位大神能说下芬兰罗慕齿美康对早期幼儿牙齿矫正有没有作用
图片尺寸570x728
牙齿支撑固定桥3个牙齿.医用精准3d插图
图片尺寸1200x736
芬兰铁路桥梁在阳光灿烂的日子图片
图片尺寸450x300
苏格兰高地格伦芬兰高架桥
图片尺寸1080x810
牙齿冠桥图片
图片尺寸383x300
牙桥由种植体支撑.医学上精确的人类牙齿和假牙概念的3d插图
图片尺寸1200x900
哪位大神能说下芬兰罗慕齿美康对早期幼儿牙齿矫正有没有作用
图片尺寸1173x720
儿童整牙早期治疗 罗慕矫正器(芬兰)_整牙_牙套_儿童牙齿矫正_母婴
图片尺寸1080x1439
牙齿冠桥图片
图片尺寸450x300