苏万东

沛嘉加奇嘉介谈丨苏万东tethys03中间导引导管在颈内眼动脉段动脉瘤
图片尺寸1080x1620
精彩回顾宣武周三美e说第二十二期后循环fd基底动脉内置入fd治疗
图片尺寸764x855
苏万东
图片尺寸200x266
苏万东主任医师教授 山东大学齐鲁医院神经外科 擅长:脑血管病(颅内
图片尺寸300x356
主管医疗基金医学处主管王孟涛,山东大学齐鲁医院神经外科教授苏万东
图片尺寸1000x666
苏万东教授首先介绍了基底动脉穿支动脉瘤的三种类型和相关文献.
图片尺寸1033x1559
苏万东:退役士兵,接光荣之家牌.
图片尺寸1052x1403
齐鲁医院承办首届中国医师协会神经介入年会-山东大学新闻网
图片尺寸600x400
沛嘉加奇嘉介谈丨苏万东tethys03中间导引导管在颈内眼动脉段动脉瘤
图片尺寸578x771
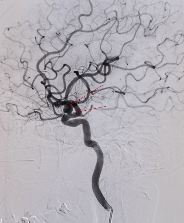
沛嘉加奇嘉介谈丨苏万东tethys03中间导引导管在颈内眼动脉段动脉瘤
图片尺寸581x774
沛嘉加奇嘉介谈丨苏万东tethys03中间导引导管在颈内眼动脉段动脉瘤
图片尺寸640x774
2019年3.8日齐鲁医院苏万东教授病例动脉瘤密网支架植入术tb5035
图片尺寸2000x2667
齐鲁医院苏万东教授带来主题为"tubridge03治疗经验分享"的学术报告
图片尺寸1080x810
2019年3.8日齐鲁医院苏万东教授病例动脉瘤密网支架植入术tb5035
图片尺寸2000x2667
【我的战"疫"故事】乃东辅警古桑拉珍:绽放在"疫"线上的铿锵玫瑰
图片尺寸641x481
沛嘉加奇嘉介谈丨苏万东tethys03中间导引导管在颈内眼动脉段动脉瘤
图片尺寸570x570
山东大学齐鲁医院刘玉光教授 《中国神经
图片尺寸1440x1080
2019年3.8日齐鲁医院苏万东教授病例动脉瘤密网支架植入术tb5035
图片尺寸2667x2000
沛嘉加奇嘉介谈丨苏万东tethys03中间导引导管在颈内眼动脉段动脉瘤
图片尺寸814x819
青岛市立医院影像科张通主任,山东大学齐鲁医院神经外科苏万东主任
图片尺寸800x533