苏木精伊红

苏木精-伊红染色液
图片尺寸710x532
苏木素伊红染色液
图片尺寸3264x2448
特价包邮苏木精-伊红染色液he染色液苏木素伊红分化染液3*1000
图片尺寸780x585
贝索苏木精伊红y(醇溶)染液he染色液苏木素伊红染色液2*1000ml
图片尺寸800x800
病理试剂 苏木精伊红染色液2*1组合 标准溶液品质250ml*2
图片尺寸800x800![苏木素伊红染色液he染色液 苏木精 2×500ml [ph0516 phygene]](https://i.ecywang.com/upload/1/img1.baidu.com/it/u=178688697,159986645&fm=253&fmt=auto&app=138&f=JPEG?w=310&h=310)
苏木素伊红染色液he染色液 苏木精 2×500ml [ph0516 phygene]
图片尺寸310x310
图4. 肺活检标本(苏木精-伊红染色)
图片尺寸1200x2766
苏木色素苏木色精苏木精10g科研实验用
图片尺寸672x599
苏木素;苏木色精
图片尺寸718x701
天狼星红染色试剂盒注意事项
图片尺寸498x464
苏木精伊红染色液,苏木精伊红染色液价格,苏木精伊红染色液批发
图片尺寸400x300
苏木精-伊红染色法
图片尺寸641x394
贝索苏木素染色液500ml 苏木精伊红染液he巴氏病理醇溶性标本染液 ba
图片尺寸350x350
苏木素-伊红染液
图片尺寸600x556
苏木素伊红(he)染色试剂盒(c0105m)
图片尺寸800x800
甲状腺组织.组织切片苏木精-伊红染色,放大10×1.
图片尺寸415x311
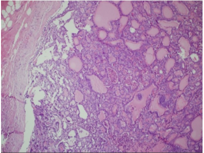
左上叶切除术病理(苏木精伊红染色,放大 40 倍):存在神经内分泌
图片尺寸640x482
苏木素-伊红染色液,苏木色精,伊红y
图片尺寸340x227
经苏木精-伊红(h&e)染色后光学显微镜下的结核性附睾炎
图片尺寸220x165
这苏木精 - 伊红(h&e)从退伍军人疾病患者肺活检组织染色显微照片
图片尺寸860x565