苏木紫小体图片

苏木素小体/狼疮小体
图片尺寸640x481
木料diy木料紫心苏木紫罗兰木料古夷苏木佛珠手串木料练手雕刻木
图片尺寸400x400
苏木紫小体儿
图片尺寸640x640
请问这种植物的学名是什么?
图片尺寸4095x3071
图3 盲肠息肉活检(苏木紫伊红染色)
图片尺寸536x455
妙聚福 巴西紫罗兰木紫芯木108颗手链 紫色佛珠手串男女款念珠 素款
图片尺寸800x800
盘了半年的紫芯苏木手串原来是染色的
图片尺寸1080x1439
拉丁美洲木材_紫心苏木_木材详解
图片尺寸640x480
纯木紫罗兰紫芯苏木佛珠手串20男款
图片尺寸600x800
狼疮性肾炎病理图
图片尺寸637x426
苏木紫苏尺料雕刻料弓柄红木小料紫芯木雕
图片尺寸800x800
有趣的是,患者在出现本次症状之前,4 年前由于梅克尔憩室及小肠梗阻行
图片尺寸532x401
紫罗兰紫苏苏木紫芯佛珠文玩手串单圈手链男女手串
图片尺寸800x800
双肾狼疮性肾病
图片尺寸300x202
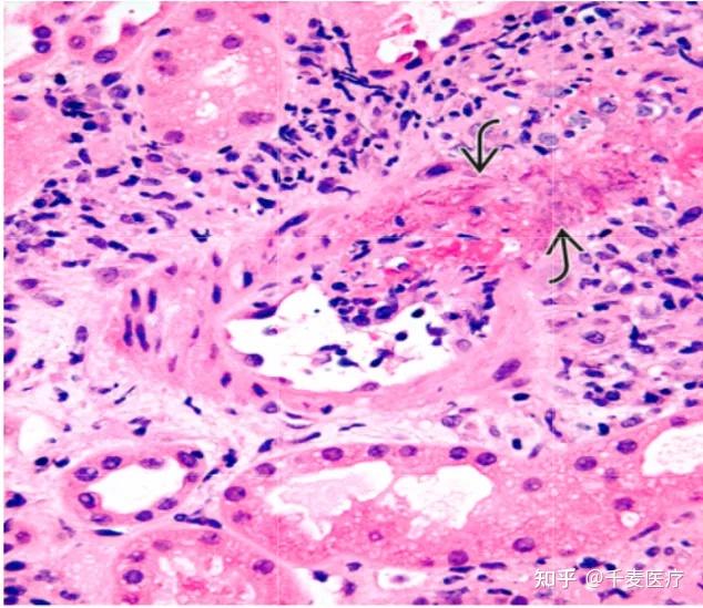
纤维蛋白样坏死,透壁,较多苏木素小体,管周巨噬细胞浸润著.
图片尺寸634x549
玄同巴西紫罗兰紫苏苏木紫芯108颗手链紫色佛珠手串
图片尺寸800x800
diy小熊家木艺紫心苏木紫芯紫罗兰紫色木头手工木雕
图片尺寸750x627
找新家 97.武汉小体比熊有没有喜欢的呀 - 抖音
图片尺寸1440x1920
巴西紫罗兰紫苏苏木紫芯佛珠念珠文玩手串男女佛珠
图片尺寸800x800
尼氏小体
图片尺寸1080x810