莲蓬乳房的图片

p>"莲蓬乳",是网友将一个丰满的乳房同一只莲蓬用ps软件叠加在了一起
图片尺寸500x392
荷果莲蓬
图片尺寸600x597
2021年8月17日,杭州,"西湖牌"荷叶莲蓬开采.图片来源:视觉中国
图片尺寸900x600
原创买莲蓬买大的还是小的种植户教你一招个个丰满清甜
图片尺寸491x367
立秋以后荷塘里的莲蓬也逐渐结满果实
图片尺寸535x800
099梅子卢雪梅《相见在夏天里》"魅力华夏"散文随笔参赛作品_莲蓬
图片尺寸1080x1509
皮肤内,有时候,它也会钻进女性的乳房营寄生生活.
图片尺寸220x137
荷花,荷叶,莲蓬,是夏日里不可或缺的美.刘向阳摄
图片尺寸860x585
微博网友@莲蓬人lianpengren 称,叙利亚小难民照片为摆拍 图片来自
图片尺寸600x668
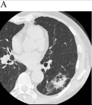
非常有趣的肺ct莲蓬征你见过吗
图片尺寸312x355
7月21日,东林镇泉心村的村民划着菱桶采摘莲蓬与荷花(无人机照片).
图片尺寸800x606
村民周孝珍正在采摘莲蓬(央广网发 赵勇摄)
图片尺寸800x554
主要为具有吉祥寓意的动物纹和植物纹,如蝙蝠,双龙戏珠,狮鹿,莲蓬等
图片尺寸400x600
临沂:郯城千亩"复耕莲蓬"新鲜上市
图片尺寸1024x684
女性乳房脆弱且敏感呵护乳房从改变那些不好的姿势开始
图片尺寸600x370
工笔荷花画法分享_步骤_花瓣_莲蓬
图片尺寸656x653
非常有趣的肺ct莲蓬征你见过吗
图片尺寸1080x509
莲蓬草
图片尺寸292x179