菊糖显微鉴别图

菊糖的理化鉴别
图片尺寸450x443
uhccd系列c接口usb20ccd相机实拍图片
图片尺寸1024x768
南沙参显微
图片尺寸2448x1920
d-乳酸生产菌菊糖芽孢乳杆菌来源的d-乳酸脱氢酶同工酶
图片尺寸700x384
常用中药显微鉴定16开稀缺书
图片尺寸1200x1600
magrose在倒置显微镜下400倍成像
图片尺寸490x450
木香显微
图片尺寸2448x1920
图2 10*10倍显微镜下结晶后我们手工1500转离心10分钟.
图片尺寸658x643
桔梗-中药鉴别-医学
图片尺寸771x765
木香显微
图片尺寸2448x1920
逍遥书屋123 消耗病 中文别名:菊糖或天然果聚糖 英
图片尺寸199x333
【图1表示动物细胞亚显微结构示意图,图2表示细胞通过"自噬作用"及时
图片尺寸538x244
鹅不食草-中药鉴别-医学
图片尺寸726x596
类别食品和饲料添加剂
图片尺寸300x300
木香显微
图片尺寸2448x1920
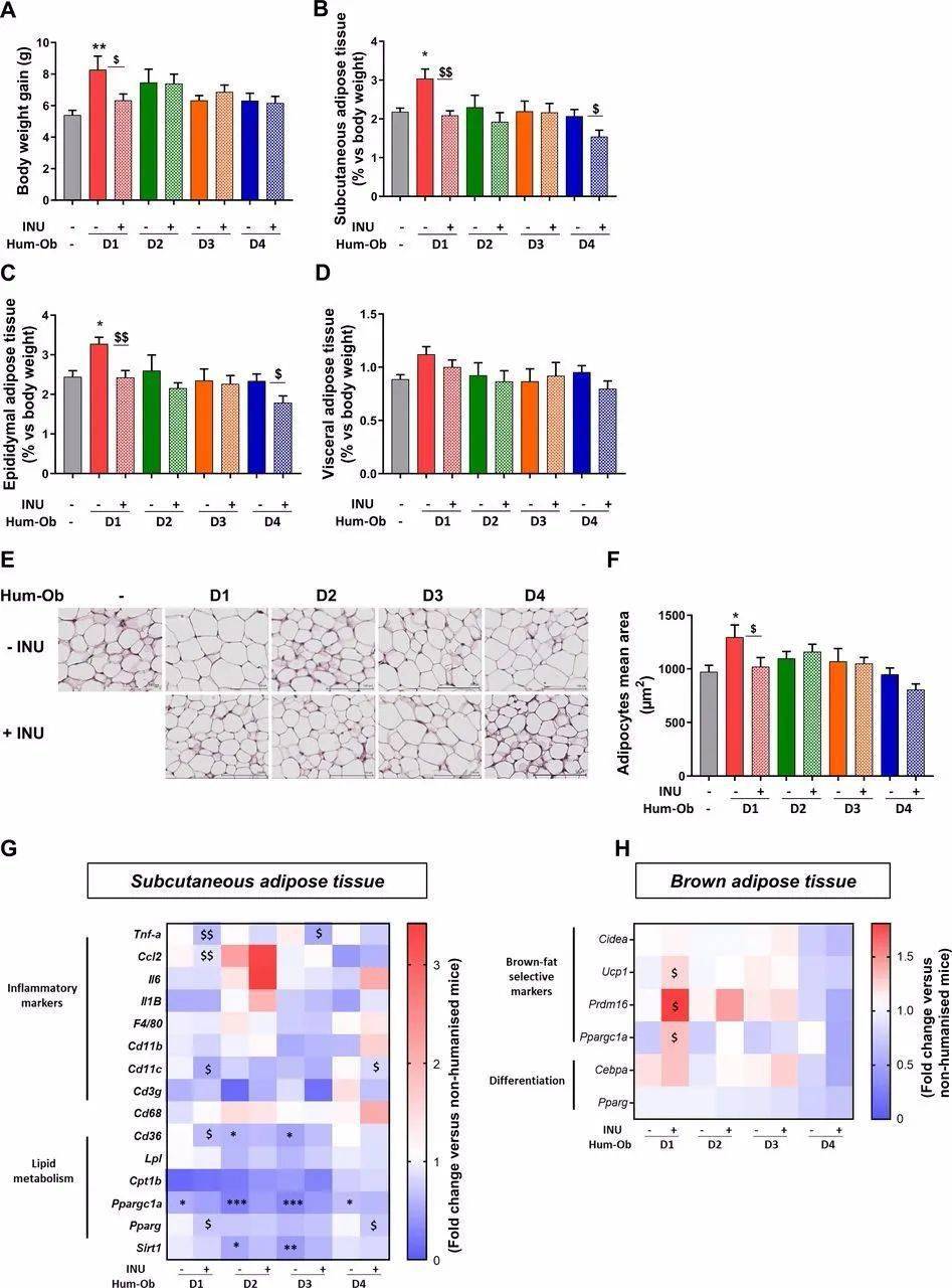
研究发现:菊粉作为益生元可减轻肥胖症!_康美_hum-ob_降低
图片尺寸947x1280
菊糖,bc使用说明书与操作注意事项
图片尺寸247x358
图1 10*40倍显微镜下结晶在检验科,尿
图片尺寸759x603
木香显微
图片尺寸2448x1920
生药学
图片尺寸681x1144