葡萄胎彩超图片

病例624侵蚀性葡萄胎1
图片尺寸1984x1528
葡萄胎一例
图片尺寸1024x768
【贴图】典型葡萄胎
图片尺寸758x566
典型葡萄胎
图片尺寸2048x1536
7215怀疑葡萄胎或者绒癌98不要吓我
图片尺寸1080x1439
典型葡萄胎图像
图片尺寸768x576
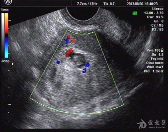
葡萄胎超声表现图片
图片尺寸704x576
葡萄胎超声图特征
图片尺寸599x400
【共享】典型葡萄胎一例 添加图片
图片尺寸720x540
【贴图】典型葡萄胎
图片尺寸758x566
典型的葡萄胎
图片尺寸704x576
葡萄胎 7天的超声变化
图片尺寸573x450
恶性葡萄胎
图片尺寸400x297
结合hcg葡萄胎可能性是否可以排除
图片尺寸3120x4208
葡萄胎的超声诊断也要小心_工作_苏州市_检查
图片尺寸1080x1014
专家门诊1例——双胎合并葡萄胎
图片尺寸1024x768
典型葡萄胎图像
图片尺寸768x576
典型葡萄胎图像
图片尺寸768x576
专家门诊1例——双胎合并葡萄胎
图片尺寸1024x768
专家门诊1例——双胎合并葡萄胎
图片尺寸1024x768