虎牙x光片

想知道虎牙埋伏牙牵引还是拔出好牵引的成功率大吗
图片尺寸500x369
嘴唇突,嘴唇厚
图片尺寸570x261
想做口腔矫正年龄23岁照x光片以后发现门牙后面有一颗埋伏牙虎牙是拔
图片尺寸1536x2048
缺牙患者邱女士分享术后感受
图片尺寸1200x800
姑娘主诉:嘴突,牙齿非常不整齐,笑起来虎牙不美观,有开唇露齿现象.
图片尺寸720x352
23岁终于决定箍牙了
图片尺寸1080x1439
虎牙妹的隐适美隐形矫正日记,有和我一样的吗
图片尺寸357x448
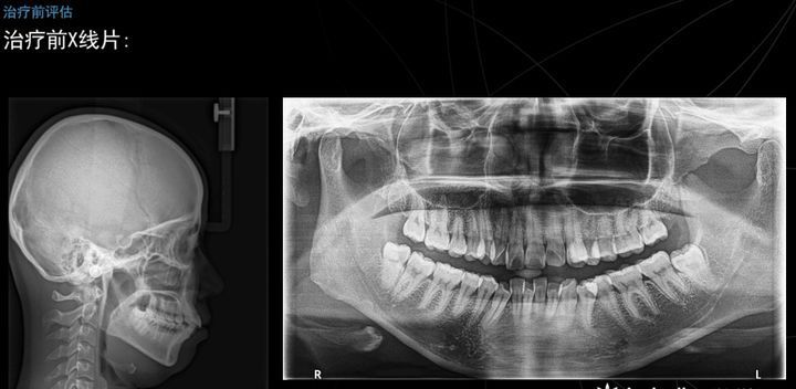
想做口腔矫正,年龄23岁,照x光片以后发现,门牙后面有一颗埋伏牙(虎牙)
图片尺寸1498x842
当两个大门牙和两个大虎牙错乱的排列被拉整齐的时候,兔牙也就越发
图片尺寸497x677
上牙的虎牙被挤进去了,整体大牙们往里凹.
图片尺寸1080x608
2020虎牙直播星盛典宣传片,燃聚星未来_哔哩哔哩 (゜-゜)つロ 干杯
图片尺寸1728x1080
小虎牙07
图片尺寸1080x1080
x光机判图检查时,从缅甸入境的中国籍旅客随身携带的挎包中查获虎牙1
图片尺寸976x1168
青岛牙齿矫正 |片切 推磨牙向后解决牙齿拥挤,虎牙高位,恢复流畅笑线
图片尺寸1660x1660
你们要的虎牙达洛到了
图片尺寸1080x1439
x光片切开翻瓣,因为要开窗取出埋伏牙,所以翻瓣略大一些.
图片尺寸591x553
虎牙小美女的情绪片
图片尺寸1080x1439
华北医疗健康集团峰峰总医院北院区(口腔科(北))费
图片尺寸500x317
虎牙口罩片
图片尺寸1080x1439
如图,我牙齿是不整齐的,虎牙明显,门牙偏大属于大兔牙,但是小的时候
图片尺寸960x912