虹膜睫状体炎

虹膜睫状体炎
图片尺寸399x265
虹膜睫状体炎,需要怎么治疗
图片尺寸1242x1660
虹膜睫状体炎是怎样的?它会发出什么信号?人们是如何治疗的?
图片尺寸725x400
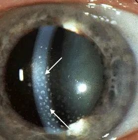
图4-28 慢性虹膜睫状体炎断发性青光眼,虹膜萎缩
图片尺寸990x1035
虹膜炎,全称虹膜睫状体炎,属于前葡萄膜炎的一种.
图片尺寸640x697
虹膜睫状体炎
图片尺寸300x225
虹膜睫状体炎应对:眼病不再困扰!
图片尺寸1242x1660
还会有疼痛,畏光,耳前淋巴结状蟮雀髦直硐(这里我们就不展开介绍了
图片尺寸1024x939
眼睛突然充血畏光看不清小心虹膜睫状体炎严重可致盲
图片尺寸1000x758
虹睫炎的患者应该如何保持眼睛的健康?
图片尺寸3230x1280
kp全称是角膜后沉着物,是眼内炎症的表现,也是虹膜炎的主要特征之一.
图片尺寸278x283
异色性虹膜睫状体炎(fuchs综合征)并发白内障的手术治_葡萄膜炎
图片尺寸596x610
虹膜睫状体炎
图片尺寸524x400
虹膜异色 (25)_有来医生
图片尺寸533x400
葡萄膜炎是眼科临床上常见的一类眼病,可累及虹膜,睫状体,脉络膜
图片尺寸677x685
虹膜睫状体炎常表现为单眼的红痛,畏光,视物模糊,抗炎,散瞳局部治疗也
图片尺寸514x350
中年男性,左眼红外院就诊,描述角膜kp,前房dyn( ),诊断虹膜炎,结膜炎
图片尺寸3264x2448
病久拖不治致视力下降 医生提醒:近期这类眼病高发_角膜_症状_分泌物
图片尺寸640x479
虹膜睫状体炎能喝酒吗 - 抖音
图片尺寸1000x591
虹膜睫状体炎
图片尺寸480x400