蛀牙图片 补牙

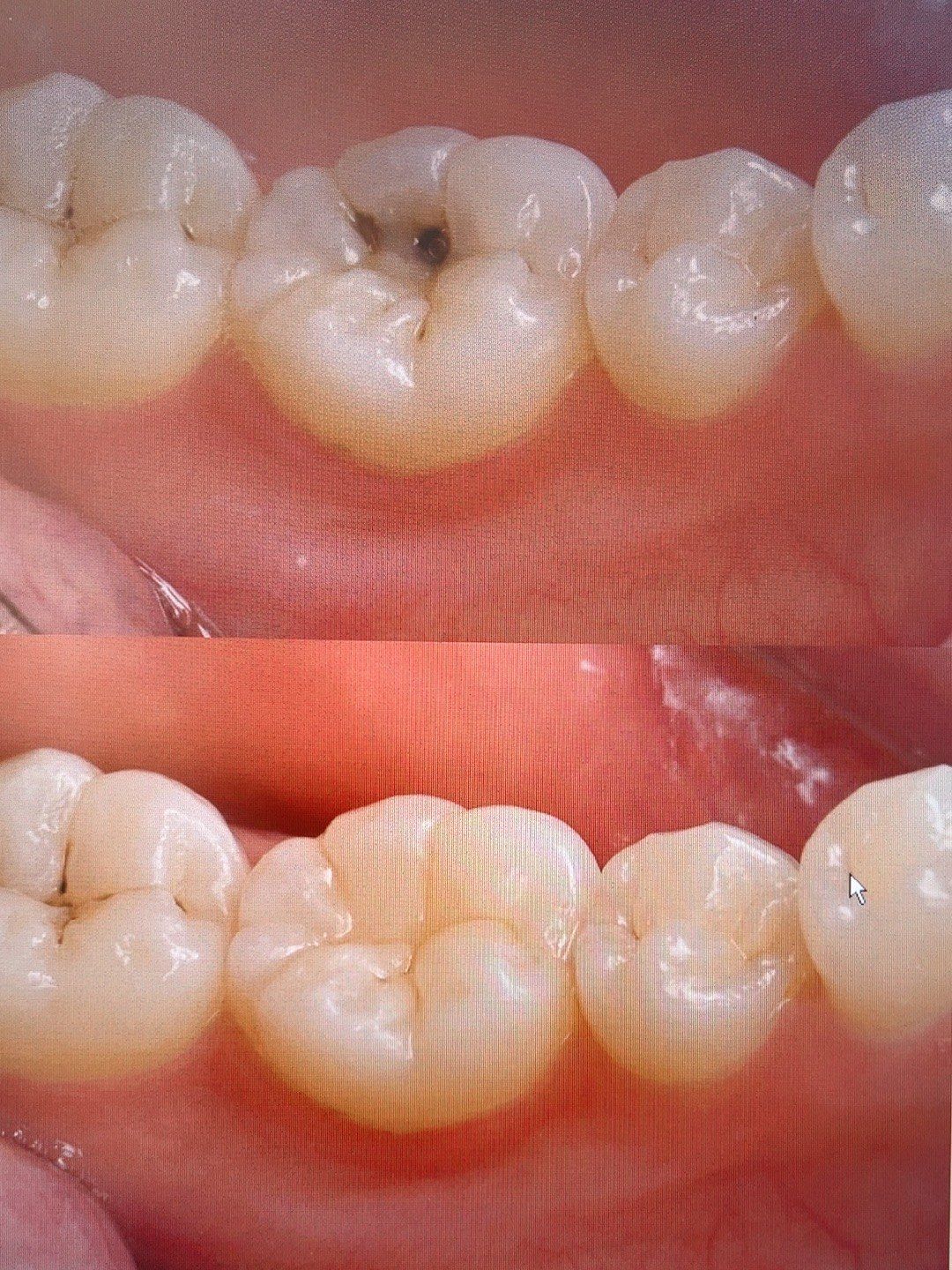
补牙前后
图片尺寸1440x1920
有蛀牙大家真的要早一点
图片尺寸1440x1507
门牙龋坏,楔状缺损,看看你的牙齿是哪种情况,如果发现蛀牙趁早补牙
图片尺寸1167x752
那么,补牙后一般能维持几年呢?本文将为您详细解答
图片尺寸960x1280
猜猜这样的补牙多少钱?
图片尺寸2048x2729
小小蛀牙别忽视,及时补牙护健康,为您的口腔保驾护航
图片尺寸1080x1311
图片尺寸690x1305
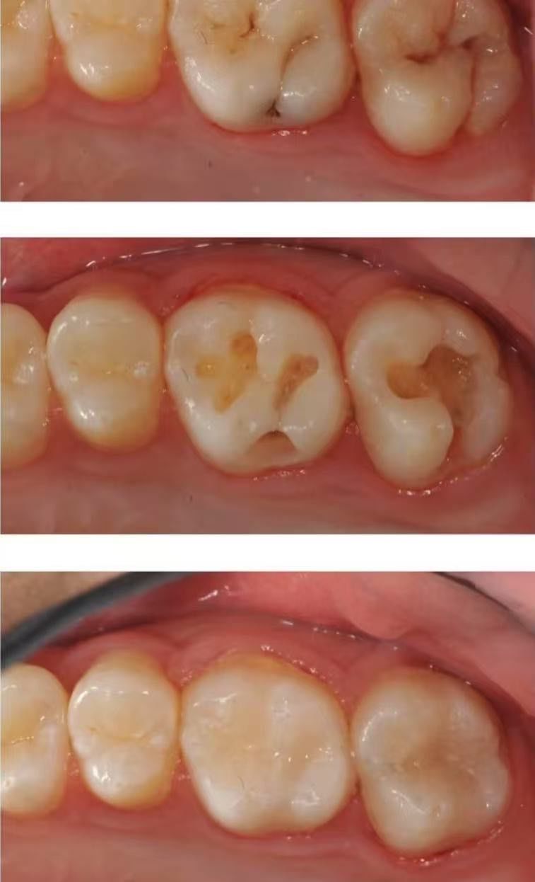
临面龋齿补牙前后对比
图片尺寸1080x1080
n真的是一次让自己非常满意的补牙之旅
自己之前也是有蛀牙的泅况
图片尺寸1080x1440
从小蛀牙
图片尺寸690x1029
补牙后过敏怎么办?哪些情况可以引起过敏呢
图片尺寸900x900
补牙为何有时需要垫底?
图片尺寸1195x1890
在补牙前,牙齿可能因为蛀牙或损伤而出现黑点,裂缝,甚至疼痛,这不仅
图片尺寸2048x3072
补牙的操作流程以及如何正确使用器械和车针
图片尺寸1919x2560
一旦发现蛀牙
图片尺寸1080x1596
掌握科学护理方法,才能让补牙材料"长寿",远离二次蛀牙困扰
图片尺寸1862x2490
图片尺寸690x5026
补牙
图片尺寸757x1246
龋齿的治疗方法要根据龋坏程度来选择
图片尺寸1094x1376
图片尺寸690x578