蛀牙残根

牙齿残根20几年了没拔会怎么样牙残根一辈子不拔行吗
图片尺寸500x286
残根的再利用基本情况:姓名,赵×,女,年龄35,职责,个体经商主诉:牙套
图片尺寸1294x550
牙齿残根如果得不到彻底地治疗,很容易对身体造成其他并发症的影响,应
图片尺寸656x570
残根的再利用基本情况:姓名,赵×,女,年龄35,职责,个体经商主诉:牙套
图片尺寸1087x640
残根还有救吗? - 知乎
图片尺寸600x494
牙齿龋坏残根
图片尺寸544x478
残根的再利用基本情况:姓名,赵×,女,年龄35,职责,个体经商主诉:牙套
图片尺寸1089x544
分享一组双尖牙根面龋补牙案例
图片尺寸640x426
无法保留的残根
图片尺寸522x362
残根还有救吗
图片尺寸622x461
患者刘某,46龋齿严重,只剩下残根.48阻生齿无对颌.
图片尺寸750x1000
"蛀牙"一直不管,久了就真的再也不痛了,只剩下了残根,这时候牙医只能
图片尺寸407x245
中老年人要注意牙齿残根不拔会成为定时炸弹
图片尺寸640x402
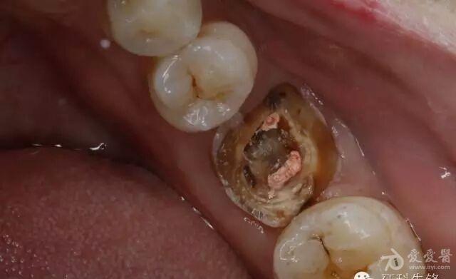
残根修复一例-医联
图片尺寸680x907
医生说剩下1mm的牙根在里面,如果要清除创伤很大,留着没问题的.请问这
图片尺寸375x500
复杂根管治疗残冠根管治疗一例
图片尺寸1080x810
残根修复一例-医联
图片尺寸680x907
残根的挽留氧化锆还是铸瓷的选择转
图片尺寸640x391
烂牙没及时治疗变残根老年人是否有必要拔除牙齿里的残根
图片尺寸517x291
这些残根危害可不小,严重要截骨!__凤凰网
图片尺寸1023x681