蛛网膜囊肿图片

蛛网膜囊肿主要可以分为哪几种?治疗这种疾病的主要方法有哪些?
图片尺寸2000x1500
蛛网膜囊肿是肿瘤吗?
图片尺寸640x940
什么是颅内蛛网膜囊肿,该如何治疗? - 好大夫在线
图片尺寸3000x2923
蛛网膜囊肿一例
图片尺寸1536x2048
利用神经内镜技术微创治疗鞍上蛛网膜囊肿
图片尺寸959x537
左侧cpa区蛛网膜囊肿手术切除1例
图片尺寸582x500
后颅窝蛛网膜囊肿,看要不要手术?
图片尺寸2880x1746
头部mri示:左侧蛛网膜囊肿,大小6.9*8.3cm,多发小缺血灶.
图片尺寸901x1154
蛛网膜囊肿
图片尺寸3264x2448
巨大前颅窝蛛网膜囊肿
图片尺寸3024x4032
蛛网膜囊肿是肿瘤吗?
图片尺寸640x940
怎么治疗蛛网膜囊肿
图片尺寸375x281
蛛网膜囊肿
图片尺寸1080x810
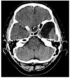
司巨民,枕大池蛛网膜囊肿
图片尺寸1003x933
蛛网膜囊肿_介绍_治疗方式 - 好大夫在线
图片尺寸3264x2448
蛛网膜囊肿术中照片
图片尺寸3072x2304
属于先天性良性脑囊肿病变,是由于发育期蛛网膜分裂异常所致
图片尺寸227x252![【病例讨论】后颅巨大蛛网膜囊肿——手术方案讨论 [病例帖]](https://i.ecywang.com/upload/1/img0.baidu.com/it/u=2682121973,1574770751&fm=253&fmt=auto&app=138&f=JPEG?w=500&h=667)
【病例讨论】后颅巨大蛛网膜囊肿——手术方案讨论 [病例帖]
图片尺寸1944x2592
左侧中颅窝蛛网膜囊肿
图片尺寸812x662
颅内蛛网膜囊肿血供情况直接影响手术效果
图片尺寸800x600