蛛网膜CT示意图

ct检查未发现阳性结果,且临床怀疑有蛛网膜下腔出血时, csf可用腰椎
图片尺寸640x480
蛛网膜下腔出血ct图
图片尺寸1065x946
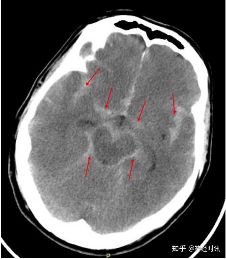
入院头颅ct显示双侧蛛网膜下腔,纵裂,基底池脑室广泛出血
图片尺寸593x366
蛛网膜下腔出血
图片尺寸1080x810
硬脑膜窦血栓形成,硬脑膜窦和异位蛛网膜颗粒丨影像诊断要点_显示
图片尺寸882x436
头 蛛网膜下腔出血
图片尺寸1080x810
中脑周围蛛网膜下腔出血,病因何在?
图片尺寸542x588
【nejm综述:蛛网膜下腔出血的评估与治疗】-中华医学网-131
图片尺寸412x509
脑ct示颅内蛛网膜下腔出血
图片尺寸1735x1907
出现了头晕眼花,记忆力下降,ct提示囊肿占位效应明显,中线偏移,蛛网膜
图片尺寸3000x2923
图2. 头颅ct扫描示蛛网膜下腔出血.
图片尺寸457x528
平扫 ct,可见广泛的蛛网膜下腔出血,累及基底池(黄色箭头),外侧
图片尺寸640x632
囊肿有张力挤压颅骨内板手术方式:开颅蛛网膜囊肿切开术半年后复查ct
图片尺寸1031x780
如ct证实脑池和蛛网膜下腔高密度出血征象,腰穿压力明显增高和血性
图片尺寸600x569
被北京某三甲医院体检时查颅脑ct发现"蛛网膜囊肿,中线偏移"(片子丢失
图片尺寸640x515
蛛网膜下腔出血ct图
图片尺寸1065x946
孩子的家长讲,小孩子出生不久就在做ct的过程中发现了颅内蛛网膜囊肿
图片尺寸1594x709
图1 ct提示头蛛网膜下腔出血表 3 ottawa 蛛网膜下腔出血规则perry
图片尺寸460x526
这种高密度不是出血带你认识假性蛛网膜下腔出血
图片尺寸1080x810
颅脑ct示蛛网膜下腔出血,量较多.
图片尺寸2667x2000