蛲虫卵显微镜

(显微镜下的蛲虫成虫)
图片尺寸800x599
小儿肛门会阴部瘙痒谨防蛲虫病
图片尺寸545x479
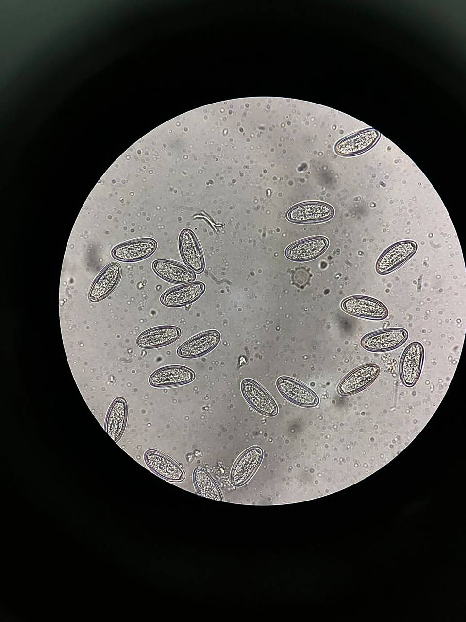
镜下蛲虫卵 第一次遇到,给大家激动坏了都不下班了挤在一起排队看哈哈
图片尺寸960x1280
检验科医生连忙接过标本,开始在病理显微镜下寻找元凶.
图片尺寸388x380
显微镜下蛲虫成虫
图片尺寸550x568
【寄生虫】蛲虫成虫活体-显微镜低倍观
图片尺寸1920x1080
显微镜下各种寄生虫虫卵.夏天到了,大家记得少吃生食,饭前勤洗手.
图片尺寸1080x810
小儿肛门会阴部瘙痒谨防蛲虫病
图片尺寸514x443
(视频)这个邮包得用显微镜来看
图片尺寸640x839
受精蛔虫卵鞭虫卵蛲虫卵钩虫卵各种人体寄生虫的全名记不住啊只记得最
图片尺寸1080x810
"肛门游侠"-蛲虫
图片尺寸1080x1080
显微镜下通过哪些形态特征来识别出松材线虫
图片尺寸1920x1080
"肛门游侠"-蛲虫
图片尺寸660x660
根结线虫让大荔胡萝卜不再美丽!
图片尺寸2667x2000
还在动!_蛲虫
图片尺寸611x816
果然,在显微镜下,发现了童童粪便中确实有蛲虫卵▼儿科医师为童童仔细
图片尺寸554x483
显微镜下青蛙体内的广州管圆线虫幼虫
图片尺寸450x337
为了便于楼主辨认管圆线虫,给配几张图,如下: 扫描电子显微镜下的管圆
图片尺寸592x471
蛲虫卵长椭圆形,双层卵壳
图片尺寸400x393
显微镜下的大千世界
图片尺寸1080x810