蜂窝状囊肿

后脑勺有囊肿,之前诊断毛囊炎和蜂窝组织囊肿,去医院劈了做的引流
图片尺寸768x1024
一位外科医生的筋膜旅程_组织_系统_结构
图片尺寸729x727
父母必知孩子眉毛附近摸着有硬块或是皮样囊肿
图片尺寸313x263
图1-63 急性泪囊炎合并急性蜂窝组织炎_知网百科
图片尺寸1289x879
腘窝囊肿你还需要动刀子切吗?
图片尺寸579x329
囊肿性痤疮还可以是包括面部痤疮和排泄管病变和综合症的一部分解剖
图片尺寸353x334
关节镜监视下射频气化腘窝囊肿摘除术
图片尺寸300x236
多发性溶骨性病变的影像学诊断
图片尺寸640x708
本文分上,下两篇,下篇我们将介绍表皮样囊肿,毛母细胞瘤,囊腺瘤
图片尺寸960x720
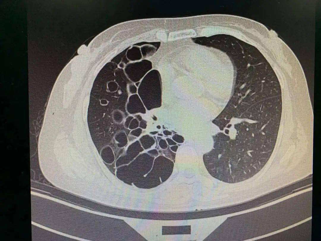
胸部ct示:气管通畅,右主支气管后方见囊状透亮影;右肺支气管呈囊柱状
图片尺寸1080x810
【超声表现】可见多个枝条状暗区伴液区伴状回声或蜂窝状多囊性肿物
图片尺寸409x259
右侧卵巢囊肿
图片尺寸800x600
壁不可复原;再进一步发展,肺泡结构完全损害,形成广泛的无功能的蜂窝
图片尺寸492x205
急性蜂窝组织炎睑板腺鳞状上皮癌睑板腺囊肿老年性上睑松弛 睑裂狭小
图片尺寸640x479
胰腺常见疾病影像学诊断思路4
图片尺寸1080x1080
多发性肺囊肿
图片尺寸1600x1200
本文分上,下两篇,下篇我们将介绍表皮样囊肿,毛母细胞瘤,囊腺瘤
图片尺寸960x720
一文读懂多囊肾和肾囊肿如何鉴别附ct原图
图片尺寸600x411
儿童囊性肾瘤,肾多囊性肿物,剖面呈蜂窝状,囊壁菲薄,未见实性肿物
图片尺寸572x430
治疗,或者治疗不当,可能会发生感染,继而引发急性泪囊炎,睑蜂窝织炎
图片尺寸500x500