蜂窝织炎镜下图片

慢性阑尾炎
图片尺寸1024x768
蜂窝织炎
图片尺寸640x462
蜂窝织炎(阑尾)-炎症-病理学园地
图片尺寸400x302
蜂窝织炎
图片尺寸300x225
蜂窝织炎阑尾炎镜下观急性单纯性阑尾炎镜下图片阑尾蜂窝炎组胚图片
图片尺寸450x342
look别发呆急性阑尾蜂窝织炎切片
图片尺寸1080x810
图11蜂窝织炎(阑尾) 肌层弥漫性中性粒细胞浸润伴坏死
图片尺寸300x226
急性蜂窝织炎主要的病因是什么患者在早期会出现什么症状
图片尺寸660x367
一个民间用仙人掌巧治急性蜂窝组织炎的偏方
图片尺寸580x773
【求助】丹毒和蜂窝织炎有什么区别
图片尺寸800x598
4.急性蜂窝织性阑尾炎5.脾凝固性坏死6.肝细胞水肿7.肝细胞脂肪变性8.
图片尺寸1536x2048
慢性肺瘀血,蜂窝织性阑尾炎,肺脓肿,鳞状上皮细胞乳头状瘤电镜下高低
图片尺寸800x600
(后几张是放大后,依次从内层到外层)a.3.蜂窝织性阑尾炎b.a.2.慢性
图片尺寸4032x3024
哪些人容易患急性蜂窝织炎?急性蜂窝织炎的并发症
图片尺寸545x354
b. (后几张是放大后,依次从内层到外层)a.3.蜂窝织性阑尾炎b.a.2.
图片尺寸4032x3024
【分享】自己照的病理切片镜下照片
图片尺寸640x481
急性蜂窝织炎性阑尾炎食道高分化鳞癌
图片尺寸1847x2048
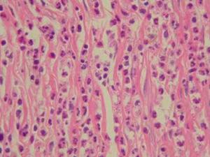
类上皮细胞也不是空泡状的蜂窝织炎性阑尾炎注意胞浆与胞核的形状与
图片尺寸720x463
大体和镜下观如图,该患者的病理诊断为 ( )
图片尺寸700x1232
急性蜂窝织炎性阑尾炎假膜性炎镜下红蓝铅笔手绘图
图片尺寸2560x1415