蝶形骨折图片

股骨蝶形骨折片在原位
图片尺寸640x1064
股骨蝶形骨折片在原位
图片尺寸1080x1441
股骨蝶形骨折片在原位
图片尺寸1080x1441
股骨干骨折含蝶形骨块有专门的分型,比如ao分型,winquist
图片尺寸1194x822
横形骨折,斜形骨折,蝶形骨折,螺旋型骨折,粉碎性骨折,多段骨折
图片尺寸640x300
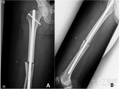
移位>1cm蝶形骨块:股骨干骨折闭合复位髓内钉也可能不愈合
图片尺寸486x364
图片尺寸1920x2560
保守治疗有风险,需结合患者全身情况给予合理,专业的治疗方案#骨折
图片尺寸2000x2667
四岁骨折萌娃遇"魔法师"医生,直呼:"小手一摸,痛痛飞走了!
图片尺寸721x959
保守治疗有风险,需结合患者全身情况给予合理,专业的治疗方案#骨折
图片尺寸2000x2667
骨,胫骨等·应力骨折与节段骨折相似,蝶形骨折没有累及骨的整个横截面
图片尺寸1080x1132
踝关节骨折还是后pilon,诊断,手术方案,体位,入路?
图片尺寸3072x4096
59岁女性拇外翻,前足足底大片胼胝体,自诉腿伸直时
图片尺寸3024x4032
骨折
图片尺寸1364x1920
一例内踝骨折,空心钉 or钢板?或者二者?
图片尺寸3000x4000
一例不用担心后踝有骨折的胫骨中下段螺旋形骨折
图片尺寸3456x4608
下肢骨折分型大全
图片尺寸612x442
一例三踝骨折,内踝需要处理不?
图片尺寸3000x4000
黄骨头踝关节骨折
图片尺寸3072x3456
黄骨头踝关节骨折
图片尺寸3072x3456