蝶窦囊肿ct图片

蝶窦囊肿经常在做脑部核磁共振时无意中被发现如果囊肿很小而且无症状
图片尺寸580x521
病例分享(31)蝶窦
图片尺寸920x670
医生答疑:脑ct查出左侧蝶窦囊肿是啥?
图片尺寸800x1069
病例分享(31)蝶窦
图片尺寸941x618
头颅ct蝶窦层
图片尺寸1439x1080
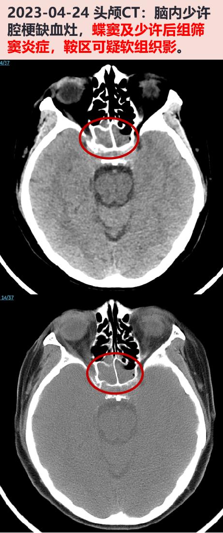
既往史:慢性鼻窦炎病史,04
图片尺寸461x1099
蝶窦囊肿有风险吗?需要咋治疗?
图片尺寸750x1334
蝶窦囊肿一例
图片尺寸750x1000
蝶窦囊肿有风险吗?需要咋治疗?
图片尺寸3024x4032
蝶窦囊肿有风险吗?需要咋治疗?
图片尺寸3024x4032
蝶窦炎mri(t2高信号📶)
图片尺寸1280x1706
2023-05-05 头颅mri增强:脑内少许腔隙性缺血灶,蝶窦炎症
图片尺寸427x1014
窦癌ct上颌窦囊肿ct图上颌窦囊肿低密度造影上颌窦积液ct上颌窦外侧壁
图片尺寸1080x1080
蝶窦炎发病会影响头晕,把它详细解答了一下 后台收了很多姐妹的私信
图片尺寸612x674
mri实图:蝶窦囊肿?请各位老师进来见图片
图片尺寸637x717
翼突入路修补蝶窦侧壁脑脊液漏
图片尺寸3953x3034
蝶窦囊肿是长在蝶窦部位的囊肿,蝶窦在脑袋深处
图片尺寸621x754
蝶窦炎
图片尺寸1280x1706
头颅ct!蝶窦层!
图片尺寸1280x1706
一会就失去意识了,两分钟后心跳呼吸骤停,这是送医院心肺复苏后拍的ct
图片尺寸3000x4000