蝶窦骨折

一例霉菌性蝶窦炎的诊治曲折
图片尺寸2000x2000
ct mr能确定蝶骨体内病变性质均匀一致吗?
图片尺寸640x467
一例霉菌性蝶窦炎的诊治曲折
图片尺寸2000x2000![我来给大家提供一个hoffa骨折的典型病例 [精华] [病例帖]](https://i.ecywang.com/upload/1/img2.baidu.com/it/u=4133176080,1935468970&fm=253&fmt=auto&app=138&f=JPEG?w=500&h=688)
我来给大家提供一个hoffa骨折的典型病例 [精华] [病例帖]
图片尺寸1278x1758
iii类骨折扩展至蝶骨或蝶窦.ii类骨折进一步累及筛骨筛板
图片尺寸1080x1920
这个上颌窦骨折需要手术吗?
图片尺寸640x853
鞍枕型蝶窦
图片尺寸1082x1500
男性27岁患者要求头颅扫描发现蝶窦病变
图片尺寸1030x516
至此可引起粉碎性骨折,造成骨片破碎重叠或缺损,硬脑膜撕裂缺损,额窦
图片尺寸1024x897
男性27岁患者要求头颅扫描发现蝶窦病变
图片尺寸1030x516
临床本科系统解剖学标本考试2 筛骨垂直板 梨骨 蝶窦
图片尺寸1080x810
固定,缝合,鼻内填塞 点击查看答案 2,多项选择题 鼻骨骨折的临床表现
图片尺寸258x518
至此可引起粉碎性骨折,造成骨片破碎重叠或缺损,硬脑膜撕裂缺损,额窦
图片尺寸640x755
病情描述:真菌蝶窦炎咨询问题:2017-09-21病例回顾真菌蝶窦炎患者主诉
图片尺寸1024x768
90%以上的韦格纳肉芽肿患者的鼻窦ct都有问题,病变包括粘膜的增厚
图片尺寸466x670
考虑左侧蝶骨大翼骨纤
图片尺寸398x349
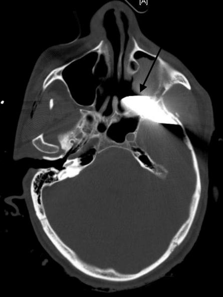
显示刀穿透左侧颞骨,左侧蝶骨,左侧翼腭窝和左侧上颌窦(图1,2,3)
图片尺寸445x593
蛛网膜下腔出血3.右侧颞骨骨折4.蝶窦及右侧乳突气房窦腔浑浊. 伤后5
图片尺寸4608x3456
系统眼科学第十一章眼外肌与双眼视斜视ppt课件ppt100页
图片尺寸1152x864
克氏针过两天就可以拔了,然后到公司私了大概能赔
图片尺寸1600x1195