蝶鞍区囊肿

【临床病例分析】鞍区rathke囊肿的诊断及治疗方案
图片尺寸496x527
mri实图:蝶窦囊肿?请各位老师进来见图片
图片尺寸675x688
贺晓生 贺晓生教授神经外科手术谈—"鞍上囊肿手术123" 经鼻蝶在窥镜
图片尺寸1500x1125
mri实图:蝶窦囊肿?请各位老师进来见图片
图片尺寸637x717
鞍区囊肿的手术治疗实例(多图)
图片尺寸934x856
第二层蝶鞍层面
图片尺寸1080x810
ameya nayate 博士提供的一例典型的蝶鞍区颅咽管瘤,以点带面,总结了
图片尺寸640x782
鞍区肿瘤的影像诊断与鉴别诊断影像天地
图片尺寸960x720
核磁共振提示蝶鞍扩大,内可见等t1,稍高t2肿瘤信号,向上方突出鞍膈,视
图片尺寸1978x1052
其它 鞍区的肿瘤 写美篇蛛网膜囊肿,r囊,颅咽管瘤,空蝶鞍,表皮样囊肿
图片尺寸634x476
鞍上池囊肿的mr鞍上池囊肿,位于室间孔内.
图片尺寸3264x2448
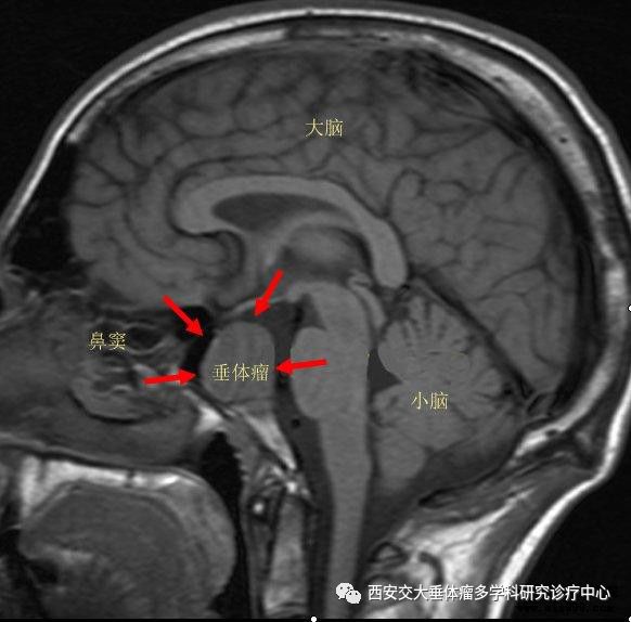
其实发生"蝶鞍区"的疾病在我们医学上专业叫作"鞍区占位",虽然鞍区
图片尺寸582x574
精准手术助其渡难关——浙一神外之江病区完成高难度蝶鞍区肿瘤切除术
图片尺寸906x821
徐桂兴手绘颅脑解剖之鞍区病变影像新
图片尺寸1080x809
蝶窦囊肿一例
图片尺寸1598x1198
解剖影像蝶鞍区应用解剖断层解剖图谱病理影像
图片尺寸660x495
实用课件鞍区解剖资料
图片尺寸720x540
蝶鞍区解剖及疾病的影像解剖
图片尺寸960x720
精准手术助其渡难关——浙一神外之江病区完成高难度蝶鞍区肿瘤切除术
图片尺寸907x821
胸部ct解剖,病例ppt
图片尺寸1080x810