螺纹烂牙图片

破损的 螺纹还能用,国外大叔演示如何修复 螺纹孔
图片尺寸480x270
螺纹磨损坏了,再加工一下
图片尺寸720x1278
攻牙后螺纹小值径居然变大了
图片尺寸330x587
曲轴端盖螺丝滑牙终于取出来了,战损微伤螺纹,更换中轴
图片尺寸1848x4000
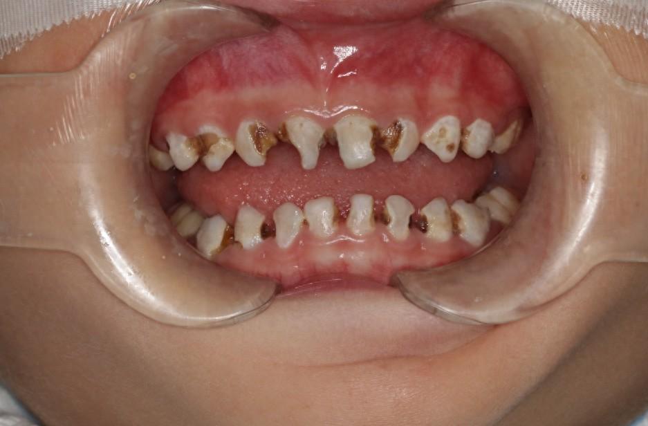
未及时治疗,4岁男童一口牙几乎烂光
图片尺寸1000x667
女孩爱吃甜食导致一嘴"烂牙",这种治疗方式为其带来"口福"!
图片尺寸937x616
数sir 的想法: 牙齿烂这样需要治疗吗?
图片尺寸1836x4080
烂牙
图片尺寸1280x1707
根管治疗的具体流程 牙医今天全部告诉你!
图片尺寸640x480
这菲律宾同行不容易,发的都是这样的烂牙,化腐朽为神奇
图片尺寸700x700
糖尿病病人的一口烂牙,牙髓都化脓了!
图片尺寸1728x1080
烂牙了
图片尺寸2731x2048
如果牙齿破了一半是因为龋齿,但没伤到牙神经,只是牙釉质或牙本质
图片尺寸419x482
发现孩子牙齿突然发黑,很多家长第一反应就是"糖吃多了"
图片尺寸1365x2048
后牙龋坏的就剩下空壳,如果做铸造冠,薄壁就要全都磨
图片尺寸1440x810
郝医生工作日常##太原朝阳口腔##根管治疗#有蛀牙一定要及时发现补
图片尺寸690x1074
蛀牙不是流感病毒但嘴里这颗坏牙真能带"坏"隔壁邻居!
图片尺寸2048x1365
首先,如果牙齿的龋洞未引起明显疼痛,可以直接使用树脂材料进行充填
图片尺寸3200x4268
牙齿烂成这样,大人都会疼的受不了,一个孩子是怎么过来的😞
图片尺寸1080x1920
牙齿烂个洞图
图片尺寸750x500