血流信号

左心房内的蓝色血流信号一定是二尖瓣反流吗
图片尺寸645x434
图 2 cdfi 示病灶中央部未见明显血流信号,周边可见环状血流信号图 1
图片尺寸779x606
明显的五彩血流信号.
图片尺寸2062x1650
病情描述:子宫肌层可见较丰富血流信号,暗区周围未见明显血流信
图片尺寸4208x3120
超声内镜下多普勒观察内部有丰富血流信号
图片尺寸750x553
图:cdfi纵断面显示腹主动脉真性动脉瘤内红,蓝相间涡流血流信号(箭头)
图片尺寸699x751
"血流信号丰富"给了我们哪些信息提示_手机搜狐网
图片尺寸1200x847
请不要轻信目测的血流信号(一) --cdfi我不想背黑锅,频谱形态很重要
图片尺寸2000x2667
右肾低回声团血流信号,可见源于肾脏的动脉血供.
图片尺寸720x506
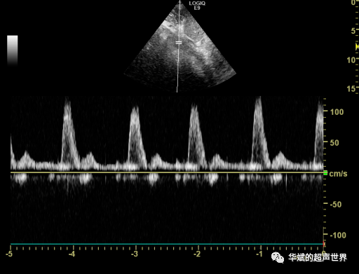
视频 3 cdfi 示左侧髂外动脉血流加速,呈湍流图 4 pw 示右侧股总动脉
图片尺寸661x498
中度或以上动脉狭窄时,可显示狭窄血管腔内血流信号充盈缺损,血流束变
图片尺寸921x785
血流_诊断_频谱
图片尺寸512x391
肿瘤内血流信号(彩色血流)可检出
图片尺寸2667x2000
病灶内部血流信号不明显,周边有丰富的血流信号.
图片尺寸1260x910
静脉急性血栓完全阻塞,显示血管明显增宽伴无明显血流信号显示(箭头)
图片尺寸606x773
有切迹或者双向血流信号一定是盗血吗?
图片尺寸3264x1840
左心房内的蓝色血流信号一定是二尖瓣反流吗
图片尺寸665x499
可见胆囊壁局限性增厚(cdfi及能量图均未探及血流信号),胆 - 抖音
图片尺寸1024x768
图 彩色多普勒显示周边探及血流信号
图片尺寸700x517
血流信号比较少见的脾动脉瘤一年能见到两三例有轻度抑郁倾向的小姑娘
图片尺寸1080x1439