血涂片报告单

发现白细胞数减低,部分粒细胞颗粒稍粗,可见空泡变性,血涂片报告如图
图片尺寸708x409
一份外周血涂片弄清血常规异常结果
图片尺寸1080x1085
西安市儿童医院小小血涂片发现大问题
图片尺寸560x336
骨髓报告单骨髓细胞涂片外周血形态特征:胞体较小的原始细胞形态似
图片尺寸1080x1320
mds-bitp53_检测_基因_患者
图片尺寸1080x1320
四川省妇幼保健院的外周血脊肌萎缩症检测知情同意书上这样写道:[脊肌
图片尺寸550x658
中碳能投等机构碳排放报告数据弄虚作假等典型案例公布
图片尺寸692x575
染色体核型分析流式细胞骨髓报告单骨髓细胞涂片外周血形态特征:胞体
图片尺寸1080x1064
干细胞治疗糖尿病视网膜病变丨不仅改善视力,视觉,还具有明显的降血糖
图片尺寸655x518
图片浏览
图片尺寸482x395
血球仪图册_百度百科
图片尺寸220x157
一位缺铁性贫血患者的外周血涂片
图片尺寸220x165
大赛设有笔试,抢答两个理论环节和兔胃切开手术,徒手打结,血涂片的
图片尺寸1080x607
浅谈蛋鸡白冠病及精准安全防控
图片尺寸1242x1700
节后减肥需注意减肥不当容易患上贫血
图片尺寸529x545
替尼,赛沃替尼和含铂化疗,多发肺和左股骨转移,外周血检测结果为egfr
图片尺寸869x330
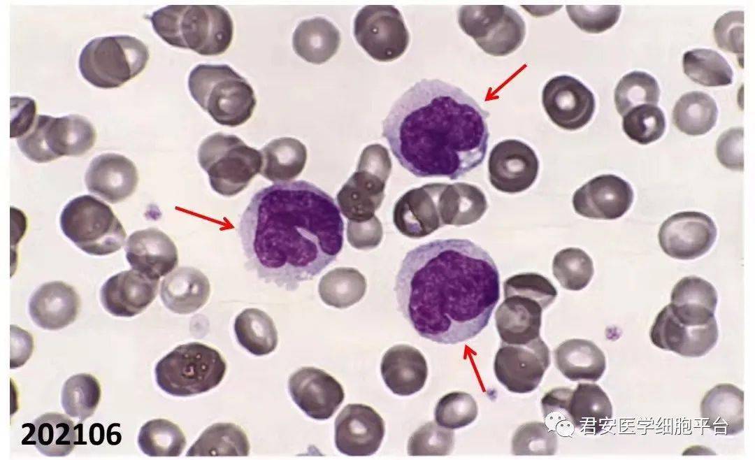
外周血涂片 瑞氏-吉姆萨染色 1000x202106卡波氏环(cabot ring)点击
图片尺寸1080x658
完成烹饪小贴士:1,猪肉含有丰富的优质蛋白质和必需的脂肪酸,并提供
图片尺寸660x368
毛细胞性白血病图片_百度百科
图片尺寸203x250
男足输球上热搜巾帼累瘫无人问
图片尺寸900x1072