血管前置超声图像

胎儿血管前置的临床处理
图片尺寸1050x921
再谈血管前置和脐带脱垂
图片尺寸1080x1456
帆状胎盘,血管前置 - 超声医学讨论版 -丁香园论坛
图片尺寸3016x4032
丁香园论坛>超声医学>帖子详情>有斑块,纤维帽不完整,管腔狭窄不严重.
图片尺寸4032x3024
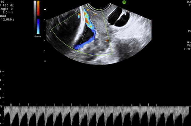
箭头指向宫颈内口,h 示胎儿头部图 4 经腹超声检查显示血管前置.
图片尺寸600x408
血管前置产前超声诊断(二)_脐带
图片尺寸640x422
再谈胎儿血管前置的超声评价及风险防范
图片尺寸4032x3024
血管前置要引起重视
图片尺寸684x552
下肢静脉曲张合并色素沉着这次手术只结扎大隐静脉与股深静脉的交通支
图片尺寸4032x2938
前置血管超声诊断思路
图片尺寸1080x608
前置血管的产前超声诊断及监测
图片尺寸553x553
前置血管并胎盘低置 孕晚期每天提心掉胆,不得已听从医生的话 - 抖音
图片尺寸1440x1920
下肢血管超声基础
图片尺寸1081x1080
前置血管的超声诊断标准包括:(1)脐血管无华通胶保护,且位于宫颈内口
图片尺寸640x504
血管前置
图片尺寸750x1335
丁香园论坛>超声医学>帖子详情>此刻诊断明确左侧锁骨下动脉盗血综合
图片尺寸4032x3024
再谈胎儿血管前置的超声评价及风险防范
图片尺寸4032x3024
丁香园论坛>超声医学>帖子详情>
图片尺寸2957x2807
丁香园论坛>超声医学>帖子详情>
图片尺寸3072x4096
再谈胎儿血管前置的超声评价及风险防范
图片尺寸4032x3024