血管球

尿极 血管球 远曲小管 球旁细胞 近曲小管 血管极 第14页 (共21页
图片尺寸1080x810
3d 渲染红血球在静脉中流动
图片尺寸1280x826
医院血站献血血球picc插管握力病人康复训练球类玩具
图片尺寸1200x1306
血管球词条图册_百度百科
图片尺寸419x362
肾的特有结构:肾小球和集合管 七 生殖系统主要是睾丸和卵巢
图片尺寸800x600
静脉,血管,毛细血管,无人,横图,室内,特写,白天,正面,仪器,静物,检查
图片尺寸819x767
10万亚洲人研究表明:即使发胖,戒烟仍然能大幅降低心血管疾病风险!
图片尺寸768x576
脑血栓怎么引起的(脑血栓形成是怎么回事)
图片尺寸1200x900
人体80的垃圾在血液中只有20的垃圾能从肠道中排除
图片尺寸308x412
血管弹性缺失1但在日常生活中,有些人轻轻地稍微有点磕碰就会出现大片
图片尺寸1080x810
专业文章
图片尺寸2900x2915
血管,红血球,显微,风景,背景,科学,医疗,循环系统,心血管
图片尺寸525x350
科室动态-清华大学附属北京清华长庚医院血管外科
图片尺寸489x597
人,横图,俯视,室内,特写,白天,仪器,静物,检查,反射,分析,科学,红血球
图片尺寸819x545
(肾小球) (肾小管) (入球小动脉) 4 5 (出球小动脉) (毛细血管)
图片尺寸1080x810
入球小动脉 出球小动脉 肾小球 肾小囊 毛细血管 肾 单 位 肾小管 肾
图片尺寸1080x810
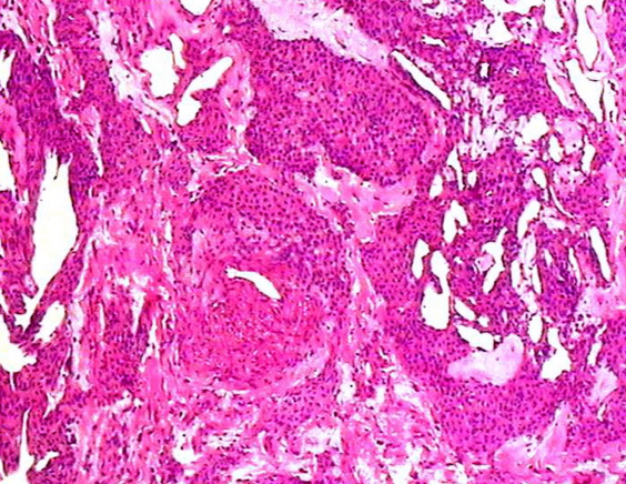
什么是血管球瘤?
图片尺寸640x494
组胚实验考试就要到了up主辛苦整理出来的干货希望对你
图片尺寸1920x1080
听说人全身的血管可以绕地球一圈属实吗
图片尺寸500x310
血管球瘤病理及鉴别诊断
图片尺寸564x436