补牙效果

哪里补牙比较好一点
图片尺寸700x1635
复合树脂补牙效果 图源www.lzmei.com
图片尺寸864x395
盘点岳阳补牙口碑牙科医院!
图片尺寸500x486
补牙前后对比
图片尺寸400x400
传统树脂补牙前后对比效果,看得见的美,还你自信笑容.#一口好 - 抖音
图片尺寸1080x1440
牙齿黑线补牙效果
图片尺寸500x500
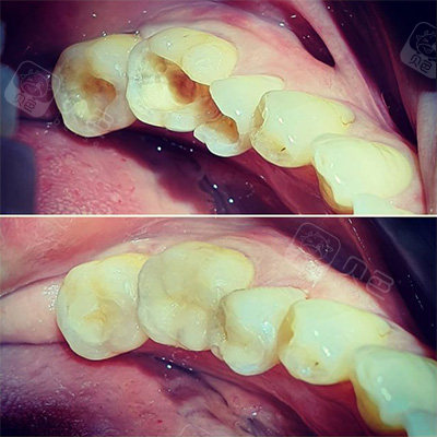
补牙前后对比
图片尺寸400x400
补牙前后对比
图片尺寸1018x1018
补牙洞大概多少钱
图片尺寸1024x747
【全口牙种植】补牙 3m纳米树脂补牙 颜色自然 美观耐磨 笑容不留缺憾
图片尺寸400x400
深圳世纪河山口腔真人案例树脂补牙前后对比
图片尺寸605x808
树脂补牙缝效果图_有来医生
图片尺寸750x500
补牙
图片尺寸827x572
树脂嵌体修复补牙前后对比图分享
图片尺寸339x600
补牙的美观 - 知乎
图片尺寸1080x1440
补牙和做嵌体哪个好?看看专业医生如何解答!
图片尺寸400x400
补牙5年后对比
图片尺寸1080x1265
嵌体的密合度与使用寿命要远远超出树脂补牙的效果
图片尺寸500x315
蛀牙补牙要多少钱补一颗牙齿大概多少钱左右
图片尺寸1168x772
补牙效果
图片尺寸547x360