补门牙

门牙树脂充填,求批正
图片尺寸640x480
今天医生给我的门牙补成了这样的颜色他说我之前的门牙是花色所以颜色
图片尺寸842x404
补牙
图片尺寸605x606
今天医生给我的门牙补成了这样的颜色他说我之前的门牙是花色所以颜色
图片尺寸934x629
4周岁的男孩非常配合的完成了乳前牙的根管治疗,意
图片尺寸1438x1080
树脂补门牙缝前后图片
图片尺寸653x436
补完牙能看到补的痕迹,颜色不一样,补门牙怎么减少色差?
图片尺寸500x500
一例门牙树脂修复病例--张杨_kq88口腔内科网
图片尺寸620x365
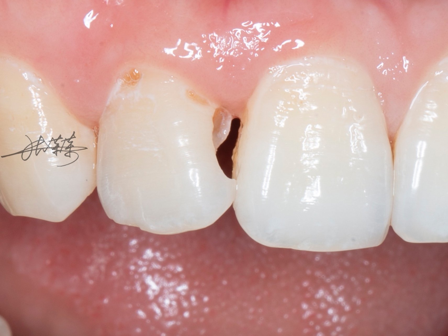
门牙美学修复树脂补牙
图片尺寸1712x1284
门牙龋坏树脂补牙门牙龋坏影响美观,那就用树脂直接补_圈子-新氧美容
图片尺寸1284x1284
门牙修复
图片尺寸4032x3024
美牙爱美的你一定不想让自己的门牙补成丑丑的样子
图片尺寸1712x1284
补一颗牙要多少钱大概--修补一颗大牙一颗门牙,大约需要多少钱-完美
图片尺寸346x188
尽早补牙有什么好处?
图片尺寸555x359
门牙美学修复树脂补牙
图片尺寸1712x1284![【病例讨论】门牙2颗,树脂修复. [病例帖]](https://i.ecywang.com/upload/1/img2.baidu.com/it/u=1845463402,3467663613&fm=253&fmt=auto&app=138&f=JPEG?w=887&h=500)
【病例讨论】门牙2颗,树脂修复. [病例帖]
图片尺寸3648x2056
在深圳牙齿缺损补牙多少钱
图片尺寸300x400
门牙美学修复树脂补牙
图片尺寸1712x1284
补门牙会不会很丑?看看我门牙蛀牙修补前后图片怎么样?
图片尺寸500x500
补牙,就是把洞塞上?no! - 好大夫在线
图片尺寸1500x1500