裂片红细胞图片

一个裂片红细胞与ttp的案例及思考
图片尺寸411x310
卫健委临检中心2020年血细胞形态学检查室间质量评价及答案
图片尺寸1000x753
经过血浆置换患者血小板恢复正常,异常红细胞百分比下降临床立即给
图片尺寸654x634
点击空白处查看答案裂片红细胞非盈利仅供学习使用往期回顾关节腔积液
图片尺寸1080x821
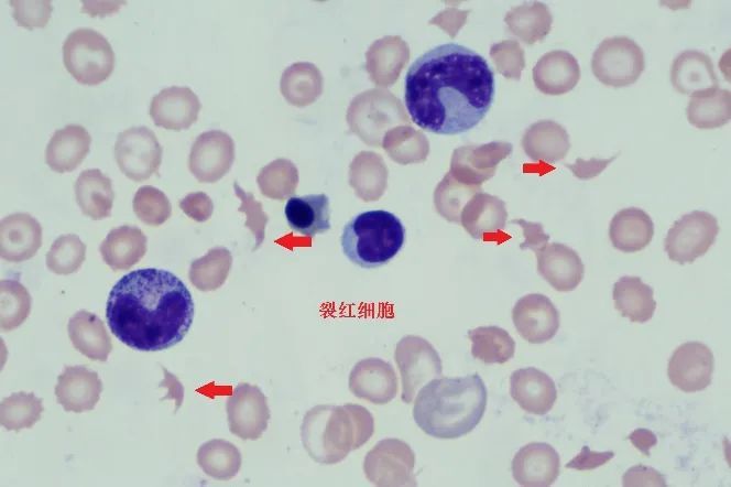
裂片红细胞
图片尺寸1080x810
血球裂片(红细胞碎片)
图片尺寸800x539
2018细胞形态学培训考试答案版
图片尺寸570x427
裂红细胞(图)
图片尺寸376x182
这时我相信这些红细胞碎片就是导致血小板假性升高的原因,但这些
图片尺寸551x464
镜下可见"小红细胞及裂片红细胞,其形态大小和血小板相似,血小板数量
图片尺寸690x338
移植后裂红细胞比例增高预示着什么续
图片尺寸664x442
裂片红细胞」▼2020104箭头所指细胞「巨多分叶中性粒细胞」▼2020103
图片尺寸660x497
的紫红色非特异性颗粒;胞核类圆形,偏于一侧,染色质较原始粒细胞稍粗
图片尺寸750x563
红细胞从破裂的血管中涌出
图片尺寸500x341
(图) 畸形和碎片红细胞
图片尺寸1130x905
红细胞的数量
图片尺寸300x238
血细胞
图片尺寸2446x3262
2020104箭头所指细胞 ▼ 「裂片红细胞」 2020105箭头所
图片尺寸650x490
高倍镜如下可见:红细胞大小不一,体积偏大,可见口形红细胞;淋巴细胞
图片尺寸431x431
外周血涂片(图3)见大量的"咬痕细胞",是红细胞内氧化血红蛋白沉淀后
图片尺寸1650x1257