视交叉损伤

光线7915视网膜7915视神经7915视交叉7915视束79
图片尺寸1080x919
病例挑战:视交叉受损之谜
图片尺寸415x328
病例挑战:视交叉受损之谜
图片尺寸415x328
病例挑战:视交叉受损之谜
图片尺寸415x328
钝性眼外伤致视网膜出血【nejm】
图片尺寸694x687
(3)视交叉外侧损伤:同侧鼻侧偏盲.
图片尺寸613x347
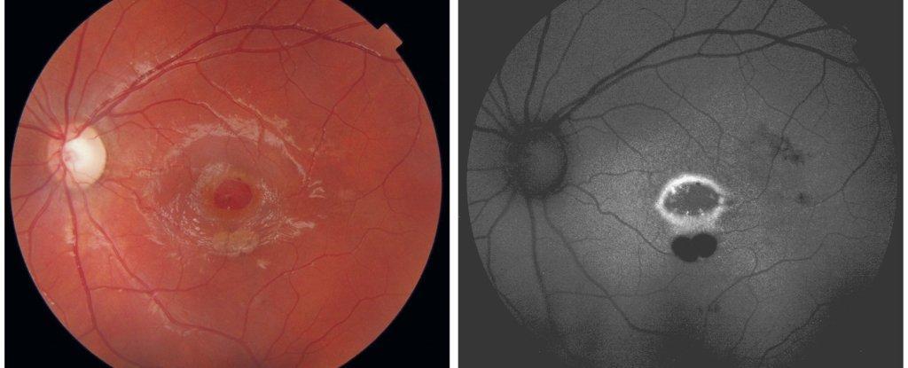
nejm:x性连锁遗传性视网膜劈裂症-病例报道
图片尺寸588x454
外伤性视神经病变
图片尺寸556x354
查体:视力:vod:0.8,vos:0.5(矫正视力).左眼下睑皮下淤血.
图片尺寸680x1049
69建议对有视神经管骨折或者视神经损伤者,在全身条件允许下,尽可能
图片尺寸600x800
视网膜脱离的早期症状有哪些?早发现早治疗才最重要!
图片尺寸500x413
视网膜脱落手术治疗效果图片
图片尺寸656x500
传导通路的不同部位受损时,可引起不同的视野缺损: ①视网膜损伤引起
图片尺寸1080x810
视网膜震荡
图片尺寸1080x810
医学慕课-病例资料
图片尺寸639x476
视交叉的病变
图片尺寸849x609
原发性视网膜脱离(锯齿缘离断)
图片尺寸1399x1353
reversible loss of vision in malignant hypertension
图片尺寸1800x1652
激光笔对于视网膜的损伤实际上非常常见.造成损害也并不需要很长时间.
图片尺寸1024x415
69建议对有视神经管骨折或者视神经损伤者,在全身条件允许下,尽可能
图片尺寸1079x1438