视杯和视盘

杯盘比是视盘杯的垂直径与视盘垂直径的比值(c/d),如图所示.
图片尺寸510x453
(左:青光眼患者扩大的视杯)(右:正常视杯,视环比例)通俗地说,眼睛就像
图片尺寸881x661
5mm,境界清楚的淡红色圆盘状结构,称为视神经盘,简称视盘,如同一个
图片尺寸500x370
没有视盘出血,杯凹切迹和视网膜神经纤维层缺损征(rnfld)视盘盘沿均匀
图片尺寸1042x427
大视杯与青光眼—赵军医生眼科系列科普(5)
图片尺寸590x363
当前,青光眼的检查方式主要包括:眼压检查,房角检查,视野检查与视盘
图片尺寸660x277
5mm,境界清楚的淡红色圆盘状结构,称为视神经盘,简称视盘,如同一个
图片尺寸272x343
高危视盘:小杯盘比和小视盘
图片尺寸498x413
(图上显示的是四张眼球的背面图,watson 检测视杯及视盘的大小.
图片尺寸640x400
青光眼视杯扩大,视杯与视盘比例增加
图片尺寸420x365
专家述评视盘水肿的鉴别及病因分析
图片尺寸547x789
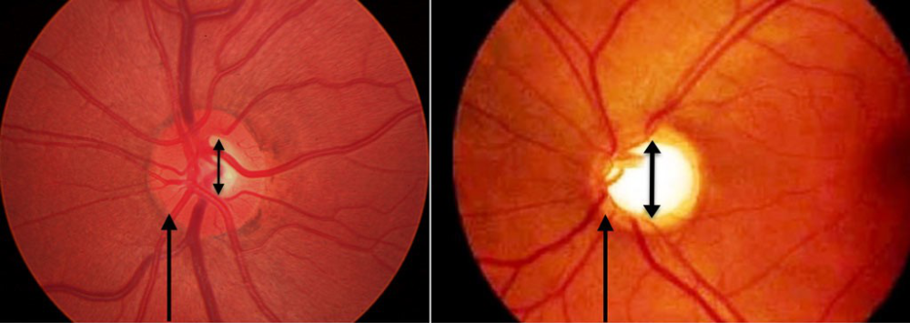
六,其他轻微/明显病变—视杯视盘比大(例 1)正常视杯/视盘(c/d)的比值
图片尺寸293x291
宁波材料所慈溪医工所在基于深度学习系统的视网膜图像视盘与视杯区域
图片尺寸500x139
5mm,境界清楚的淡红色圆盘状结构,称为视神经盘,简称视盘.
图片尺寸400x296
【善·科普】一张照片,暴露了"青光眼"的蛛丝马迹_检查_视神经_眼底
图片尺寸1080x592
眼底一张照眼病早知道关注眼部健康你要知道这些
图片尺寸1000x355
形状:卵圆形竖卵圆形 视盘视杯比值0
图片尺寸474x406
基于paddleseg的视杯视盘定位与分割
图片尺寸607x212
视乳头水肿是指视神经盘水肿的一种情况,也被称为视盘水肿.
图片尺寸640x515
视乳头又称,视神经乳头,视神经盘,视盘等,为视网膜神经纤维的 - 抖音
图片尺寸1920x1096