视神经脑膜瘤

视神经脑膜瘤ppt课件
图片尺寸800x600
视神经脑膜瘤
图片尺寸2000x2667
视神经脑膜瘤
图片尺寸2000x2667
视神经脑膜瘤
图片尺寸2000x2667
视神经鞘脑膜瘤 成年人好发,缓慢视力下降.
图片尺寸549x409
视神经脑膜瘤
图片尺寸800x600
视神经脑膜瘤
图片尺寸2000x2667
神经影像:表现为凝视诱发性黑懵的视神经鞘脑膜瘤
图片尺寸1280x1121
病例学习:老年患者出现视神经胶质瘤 1 例
图片尺寸640x485
视神经鞘脑膜瘤ppt
图片尺寸1080x810
增强mri 脂肪抑制是显示视神经鞘脑膜瘤尤其是怀疑向颅内蔓延的最
图片尺寸487x756
前颅底巨大脑膜瘤双侧视神经损伤患者成功治愈
图片尺寸3264x2448
前颅底巨大脑膜瘤双侧视神经损伤患者成功治愈
图片尺寸3264x2448
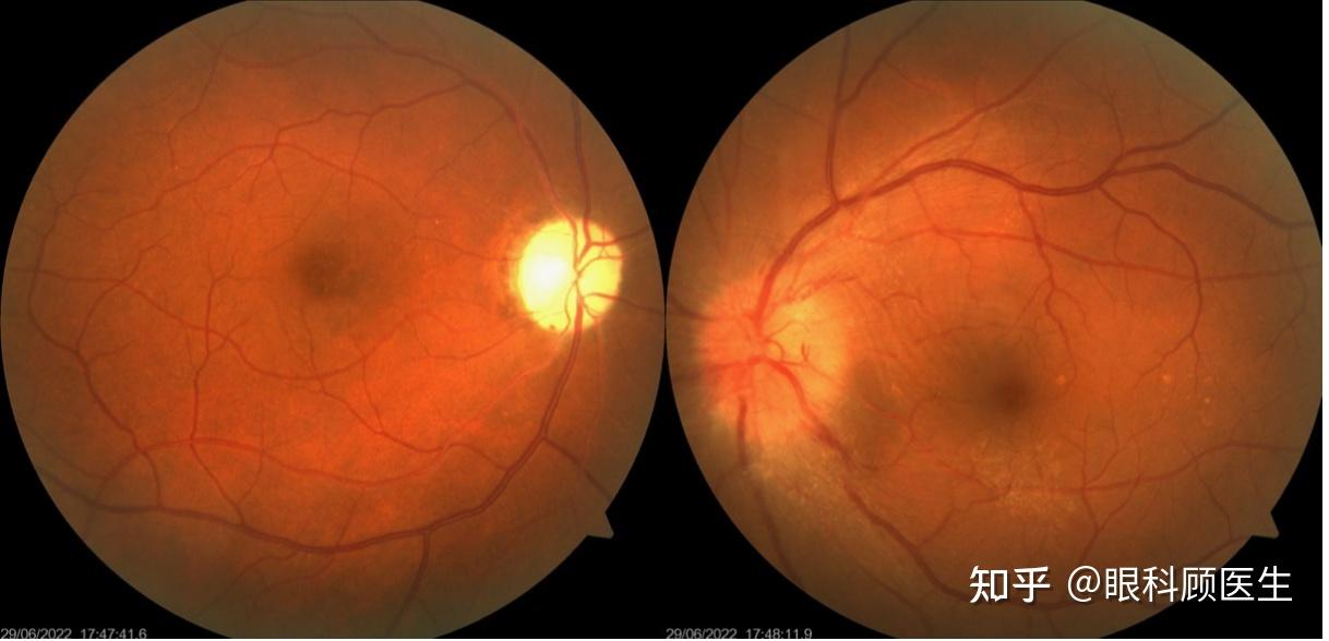
视力减退,眼球突出,慢性视乳头水肿或萎缩,视神经睫状静脉称为脑膜瘤
图片尺寸1218x588
儿童不明原因视力下降,有可能是视神经胶质瘤! - 好大夫在线
图片尺寸960x720
眶后上部的锥外型神经鞘瘤.可见视神经被内移和眶顶骨质受压侵蚀.
图片尺寸545x611
视神经鞘脑膜瘤ppt
图片尺寸1080x810
前颅底巨大脑膜瘤双侧视神经损伤患者成功治愈
图片尺寸1440x1080
脑膜瘤严重吗视神经管脑膜瘤如何全切并保留视力
图片尺寸1271x677
岑波提醒,视力障碍持续时间长,进展缓慢,是鞍结节脑膜瘤患者最常见的
图片尺寸640x406