视网膜脱落oct

这些细节太关键!_视网膜
图片尺寸864x400
局限性浆液性视网膜脱离治疗前后oct对比图
图片尺寸3648x2736
深圳视网膜脱落和朋友打了几次篮球差点失明
图片尺寸2064x2752
局限性浆液性视网膜脱离治疗前后oct对比图
图片尺寸3648x2736
最近刷到一个姐妹近视600度跳操导致视网膜脱离,所以身为725度得我很
图片尺寸1080x746
视网膜脱离oct报告图惟视资讯玻切术后会不会出现黄斑裂孔oct扫一扫就
图片尺寸1080x606
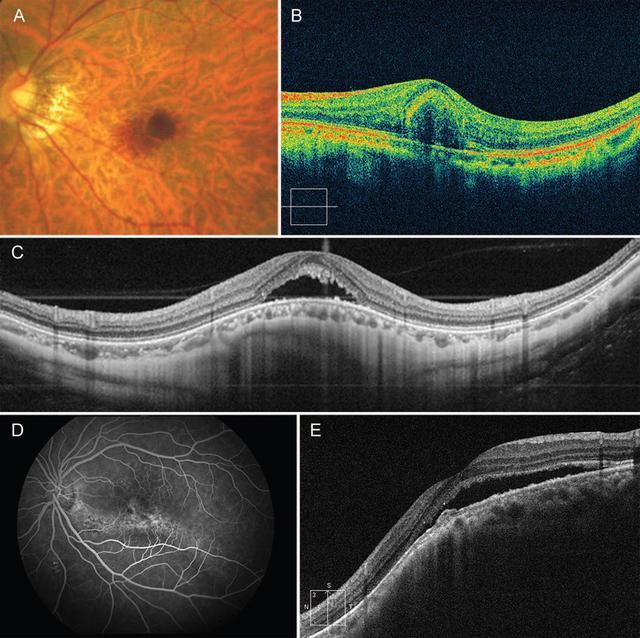
同眼sd-oct像.黄斑区rpe脱离合并视网膜神经上皮层脱离
图片尺寸700x329
视网膜脱离病因及治疗方法
图片尺寸500x363
浆液性视网膜脱离
图片尺寸3648x2736
箭头显示视网膜格子样变性区,oct显示变性区内视网膜显著萎缩变薄
图片尺寸1200x510
清晰的浅黄色类圆形视网膜神经上皮层浆液性脱离区眼底照相>>>>既往史
图片尺寸800x502
主页 眼底病 黄斑病变 若黄斑区视网膜脱离程度不高,oct检查可以
图片尺寸634x405
惠安12岁男孩打球摔倒致视网膜脱离意外查出家族遗传
图片尺寸1200x474
关于视网膜脱落,再不知道就晚了
图片尺寸641x449
视网膜脱落眼底图片
图片尺寸578x500
孔源性视网膜脱离
图片尺寸680x976
b超:玻璃体内积血,伴局部牵拉性视网膜脱离,呈"梯形板凳状"图片来源
图片尺寸635x461
视网膜脱落|高度近视|视网膜_新浪新闻
图片尺寸1080x559
的鉴别诊断:a,b 漆样裂纹所致出血;c 为圆顶样黄斑伴浆液性视网膜脱离
图片尺寸640x638
糖尿病视网膜病变眼底oct影像图糖尿病视网膜病变是一种眼底疾病,表现
图片尺寸1080x453