视网膜10层结构

太原视康眼科大揭秘 视网膜从此不再神秘
图片尺寸660x534
视网膜10层结构
图片尺寸550x361
由色素上皮细胞/视杆视锥细胞自外向内分为10层,视网膜在眼球的底部
图片尺寸641x497
年底了,你给眼睛体检了吗_检查_视网膜_患者
图片尺寸1080x789
视网膜分层
图片尺寸1572x1920
视网膜的层结构左(眼球视神经)右(眼腔晶状体和虹膜)舌头表面味蕾的
图片尺寸2452x2164
一张图理解视网膜各层结构
图片尺寸1223x600
视网膜组织学:分10层 内界膜 神经节细胞层 神经纤维层 内丛状层 外丛
图片尺寸1080x810
鸟类的视网膜结构图人类的发明有好也有坏,有些人类发明的工具却对
图片尺寸1000x590
视网膜的层间结构,视网膜及其神经纤维层正常厚度变化
图片尺寸627x453
视网膜脱离和眼外伤治疗科普①:有关视网膜脱离,你知道多少? - 知乎
图片尺寸421x621
眼底有非常重要的结构,包括视神经,视网膜,视网膜动静脉血管,黄斑区
图片尺寸935x576
oct视网膜10层结构
图片尺寸920x1303
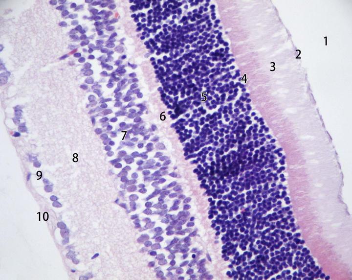
视网膜在光镜下的层次结构
图片尺寸720x572
视网膜脱离会怎样?严不严重啊?
图片尺寸777x539
oct视网膜10层结构讲解
图片尺寸920x948
抑郁患者视网膜厚度变薄?_相关研究_眼底_人员
图片尺寸537x526
北京市治疗视网膜脱离哪个医院好-北京首大眼耳鼻喉医院
图片尺寸1080x918
眼部结构-视网膜
图片尺寸991x782
p> span>视网膜是眼睛里面很薄的一层,大概只有200多微米,但是结构很
图片尺寸1080x755