角化珠画图

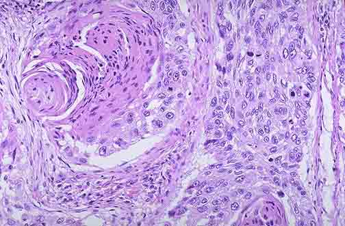
病理实验|肿瘤绘图 p1鳞状细胞癌i级 角化珠,角化不全的细胞核,细胞间
图片尺寸960x1280
口组病绘图·软组织鳞状细胞癌 老师给的建议是把"角化珠"→"癌珠"
图片尺寸1706x884
病理绘图 病理学红蓝铅笔绘图 p1小叶性肺炎 p2鳞状细胞癌(角化珠) p3
图片尺寸1707x1280
病理实验|肿瘤绘图 p1鳞状细胞癌i级 角化珠,角化不全的细胞核,细胞间
图片尺寸1438x1920
3:胞质丰富,不出现角化珠,细胞异型程度不等,核分裂可多可少.
图片尺寸1063x707
角化珠图片
图片尺寸1920x1826
病理学红蓝铅笔手绘图 实验报告病变描述
图片尺寸2048x1607
癌巢中有角化珠b.形成腺体样结构c.无细胞间桥d.基底膜完整e.
图片尺寸440x330
一般不推荐做基因检测,因为目前治疗相关驱动基因主要角化珠肺鳞癌
图片尺寸504x331
角化珠质壁分离实验中的洋葱鳞片外表皮根的微观显微图片江南梯田
图片尺寸600x611
这个是角化珠吗?
图片尺寸3413x1920
生命之花 癌巢的角化珠(病理学)临床2020-17班
图片尺寸747x755
高分化区,可见角化珠
图片尺寸661x496
角化珠99.
图片尺寸400x424
低倍镜下实质细胞呈复层排列,实质细胞之间可见角化珠形成,间质细胞
图片尺寸600x533
病理绘图 鳞状上皮细胞癌(高分化) 癌巢,角化珠,细胞间桥08
图片尺寸1611x1280
你确定吗"皮肤鳞状细胞癌,角化珠很像梵高的名画《星月夜》,又一杰作
图片尺寸600x400
第二届骨髓细胞绘图大赛等你来投票
图片尺寸1080x748
二,三种常见类型癌细胞形态特征
图片尺寸741x414
由内向外分基底层,棘层,颗粒层,角质层78#宫颈鳞状细胞癌角化珠62
图片尺寸2000x1499