角化细胞

多图辨认组织病理中的细胞形态一
图片尺寸640x427
lonza人表皮角质形成细胞
图片尺寸731x483
苏木精伊红染色提示连接处出现轻度皮炎伴坏死的角化细胞(箭头所指)
图片尺寸476x472
人表皮角化细胞
图片尺寸704x523
图5-2-2 在表皮凹陷处上方有角化不全柱,其下方可见角化不良细胞
图片尺寸693x522
癌巢内可见鳞状细胞角化过程.3.高分化者可见角化珠和细胞间桥.
图片尺寸2048x1536
大鼠表皮角化细胞的应用
图片尺寸350x261
毛周角化图片
图片尺寸300x300
角化的细胞改变("角化过度")
图片尺寸504x378
人表皮角质细胞胎儿
图片尺寸800x600
表皮具有4种细胞类型:角化细胞通过产生角质,可以为皮肤提供力量和
图片尺寸950x761
11个月德牧发情期阴道图片大量角化细胞4岁德牧发情后期 突然出现福
图片尺寸490x481
多图辨认组织病理中的细胞形态一
图片尺寸640x427
细胞的胞质淡蓝绿色,不完全角化细胞细胞核周边着粉红色边缘着蓝绿色
图片尺寸1511x1511
鳞状异常增生.a. 良性的角化病;b. 轻度鳞状异常增生;c.
图片尺寸720x546
角质层是皮肤的最外层,是由10-20层扁平无细胞核的角化死细胞构成
图片尺寸956x593
脂溢性角化病?
图片尺寸1920x1440
如图三出现大量角化无核细胞为动情期
图片尺寸639x480
由内向外分基底层,棘层,颗粒层,角质层78#宫颈鳞状细胞癌角化珠62
图片尺寸2000x1499
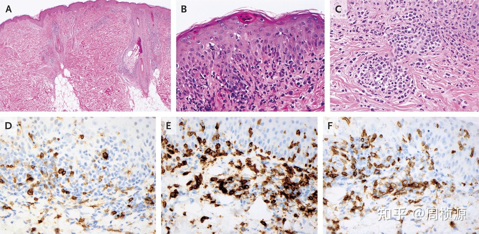
表皮和滤泡上皮见到角化细胞坏死(图3a).
图片尺寸1536x751