读胸片 读懂

📷 胸部x线解剖基础:一图看懂肺部结构
图片尺寸1704x2254
📘胸片解读:心脏的秘密
图片尺寸1080x1438
胸部正位片检查什么?一文了解检查内容
图片尺寸960x1280
胸片检查,也称为x线胸片,是一种常规且重要的医学影像学检查方法
图片尺寸900x1203
如何阅读胸片解读.docx
图片尺寸992x1404
患者男,32岁,突发胸闷,气短数小时.x线诊断结果为: a. 正常胸片 b
图片尺寸1080x1498
【胸部x光片 (chest x-ray)】
图片尺寸690x922
学习胸片🩻@锦绣前程的一生的动态
图片尺寸1170x1919
📘放射科入门:支气管炎胸片解读
图片尺寸1080x1303
肺部x光胸片怎么看?
图片尺寸1080x2044
图片尺寸1052x1200
手把手教你读懂胸部x线
图片尺寸1920x1440
全面解析x线胸片,轻松掌握看片技巧!
图片尺寸602x585
图片尺寸1440x2560
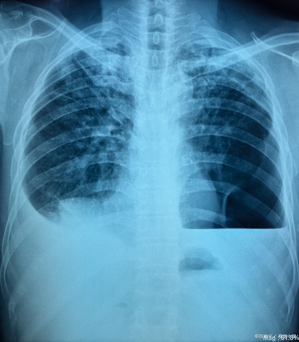
📸 胸腔积液的胸片表现
图片尺寸1120x1098
x线胸片分叶分段,你学会了吗?胸片最容易混淆的分叶分段详解图
图片尺寸1064x976
阅读胸片顺序abcde
图片尺寸920x1302
临床必备|手把手教你读懂胸片
图片尺寸662x721
双侧胸膜增厚,顾名思义,就是胸腔两侧的胸膜都比正常状态下要厚
图片尺寸900x1200
如何读胸片
图片尺寸523x471