贴牙片

烤瓷牙贴片 一次性练习假牙片 临时冠临时贴牙片 练习假瓷片粘结
图片尺寸300x300
牙科材料牙齿贴面a2牙片牙齿贴面口腔齿科器材电商
图片尺寸750x750
牙齿贴面一颗4000贵吗我门牙牙缝大2mm做牙齿贴牙片多少钱
图片尺寸690x400
分享一下我做牙齿贴片的心得!
图片尺寸1080x810
牙齿贴片多少钱,牙齿贴片,广东今泰美业
图片尺寸500x505
特价牙贴片 瓷贴面
图片尺寸800x600
美白牙齿牙贴去黄
图片尺寸300x300
牙齿贴牙片多少钱一颗
图片尺寸500x333
热销牙齿贴片
图片尺寸801x801
牙齿贴面一颗4000贵吗我门牙牙缝大2mm做牙齿贴牙片多少钱
图片尺寸500x331
瓷贴面好不好_效果图_mp136901瓷贴面术后第2天_新氧美容整形
图片尺寸475x315
口腔管理中心为您介绍哪里有做牙贴面能维持多久呢谁做过求告知8分钟
图片尺寸830x708
瓷贴面好不好_效果图_mp136901瓷贴面术后第2天_新氧美容整形
图片尺寸475x315
拍的牙片时间 长了就不能用了吗 拍牙片用医保卡
图片尺寸500x329
有朋友关注牙齿贴牙片多少钱一颗美加mega贴面买一赠一啦
图片尺寸800x800
牙齿贴片能保持几年 压制贴片能保持多久
图片尺寸600x400
一颗瓷贴面牙齿多少钱(牙齿做瓷贴面多少钱)
图片尺寸640x427
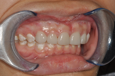
牙片鉴赏|来康康我的牙
图片尺寸1080x810
口腔管理中心为您介绍哪里有做牙贴面能维持多久呢谁做过求告知8分钟
图片尺寸830x491
贴牙片,说假话,假颜值,吃了5年"润玉"红利的罗云熙,装不下去了_网友
图片尺寸855x799