贴面牙

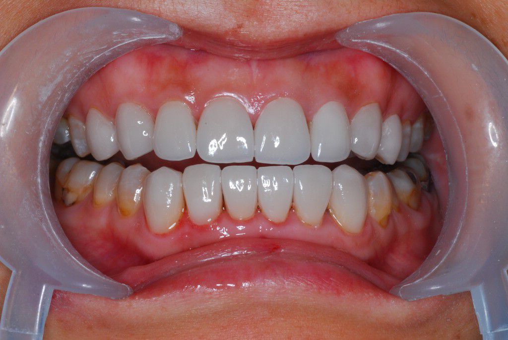
牙齿美容,百奥美全锆贴面还你最美笑容!
图片尺寸1000x750
牙齿不美观,使用瓷贴面真的有优势吗?
图片尺寸4143x2762
牙贴面是怎么做的过程
图片尺寸1079x1383
牙齿美容,百奥美全锆贴面还你最美笑容!
图片尺寸1000x750
病例前牙烤瓷贴面修复一例
图片尺寸1080x607
全瓷贴面:少磨牙,不伤原牙,安全健康,媲美真牙 - 好大夫在线
图片尺寸1500x1498
浅析全瓷牙齿贴面的材料及价格包括玻璃陶瓷和琥珀瓷等
图片尺寸600x392
全瓷贴面美牙.私人超薄瓷贴面.明星定制贴面多少钱
图片尺寸2596x1701
深圳牙齿贴面柴鑫医生:牙齿美白方法有哪些?
图片尺寸1200x565
美白冰瓷贴面招收学员学美牙美白牙齿学习冰瓷贴片技术学习
图片尺寸960x960
哪些人比较适合做牙齿贴面?
图片尺寸1024x640
超薄瓷贴面修复心得整牙全过程揭秘92
图片尺寸1800x2400
牙齿贴面,让牙齿重焕新生的秘诀!
图片尺寸641x640
emax全瓷牙贴片┃网红款超薄高硬度不伤牙舒适无异物感
图片尺寸1544x1080
患者一直想去做的牙齿贴面最后还是安排上了医院也是在新氧上种草的
图片尺寸640x853
成都美牙贴面培训全瓷培训
图片尺寸1080x1080
【作品展示】【教学现场】学习美牙贴面技术,全瓷贴面技术,美白牙齿
图片尺寸700x931
全瓷贴面 美学修复 四环素牙! - 好大夫在线
图片尺寸1024x685
院长作品:超薄全瓷牙齿贴面_牙齿美白_口腔_美妆_医美整形
图片尺寸1080x1439
美牙贴面真的值得做吗
图片尺寸460x541