超声双角子宫

双子宫双角子宫
图片尺寸3920x2940
给双角子宫,纵隔子宫的姐妹们一些信心
图片尺寸1304x1706
双角子宫超声图
图片尺寸500x273
双角子宫咨询,恳请懂这方面的专家帮忙解答
图片尺寸1835x1666
双角子宫
图片尺寸551x382
今日超声病例分享:双角子宫➕早孕#身体健康比什么都重要 #超
图片尺寸2880x2160
23岁姑娘月经持续1000天,罕见双角子宫让人心痛
图片尺寸640x364
罕见双角子宫是怎样的,一起来看看吧 #大同市第三人民医院
图片尺寸330x587
双子宫的超声诊断
图片尺寸1080x1440
双角子宫&纵隔子宫
图片尺寸1080x1440
双角子宫合并泌尿系统畸形
图片尺寸589x381
双子宫,纵隔子宫,以及双角子宫 的图片
图片尺寸600x450
论坛 › ★临床检查区 › 超声医学讨论版 › 我是一个双角子宫
图片尺寸1447x1546
双角子宫咨询,恳请懂这方面的专家帮忙解答
图片尺寸445x413
谈谈双角子宫备孕的那些事儿
图片尺寸1280x1280
双子宫双阴道有必要做手术吗
图片尺寸960x1280
👩🦰 子宫与宫颈:在矢状面上,子宫呈现细长"茄子"状,肌彩呈
图片尺寸782x742
双子宫,纵隔子宫,以及双角子宫 的图片
图片尺寸800x600
典型的双子宫一例
图片尺寸720x576
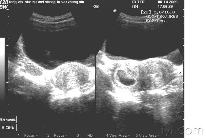
原创:双角子宫右侧妊娠,左侧节育器
图片尺寸715x484