超声心动图牛眼图

江勇: 【2020学术荟萃】人工智能在超声心动图的应用及进展 · 365
图片尺寸504x678
超声冠脉节段性分层应变评价经皮冠状动脉介入术后心肌缺血再灌注
图片尺寸945x819
牛眼图让心脏超声检查更精确
图片尺寸700x491
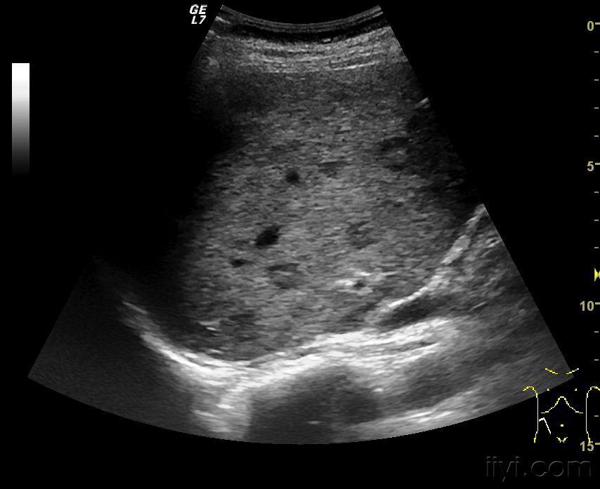
肝内牛眼 - 超声医学讨论版 - 爱爱医医学论坛
图片尺寸768x576
牛眼征! - 超声医学讨论版 - 爱爱医医学论坛
图片尺寸854x697
精彩幻灯超声心动图标准切面及正常值
图片尺寸640x480
超声心动图图片
图片尺寸1242x828
经食管超声心动图
图片尺寸640x560
心肌炎超声新技术协助早期发现
图片尺寸634x487
m型超声心动图
图片尺寸2400x1800
技术前沿评估肿瘤患者心脏毒性的新技术超声心动图斑点追踪
图片尺寸433x325
超声心动图
图片尺寸900x500
超声心动图还可以检查什么?
图片尺寸662x474
复查超声心动图,提示左室射血分数正常(ef 65%),二尖瓣轻中度反流,三
图片尺寸640x446
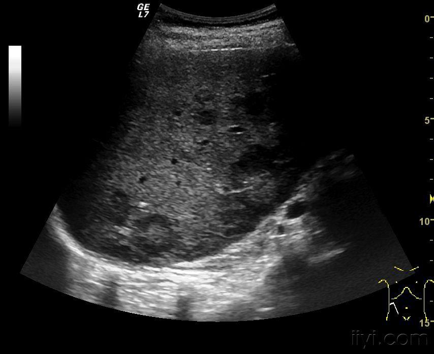
牛眼征! - 超声医学讨论版 - 爱爱医医学论坛
图片尺寸854x697
二维超声心动图
图片尺寸1080x810
牛眼 超声 ct该征象被认为是转移性肝癌典型影像表现,可见于任何转移
图片尺寸3244x1081
m型超声心动图
图片尺寸2400x1800
超声心动图(一)
图片尺寸1200x900
小哥答疑心脏牛眼图怎么看
图片尺寸392x320