超声龈下刮治

【牙周刮治微学堂】第二十七期:超声洁治技术(下)
图片尺寸656x966
龈下刮治
图片尺寸285x456
关于做完龈下刮治后口腔护理干货分享
图片尺寸768x1024
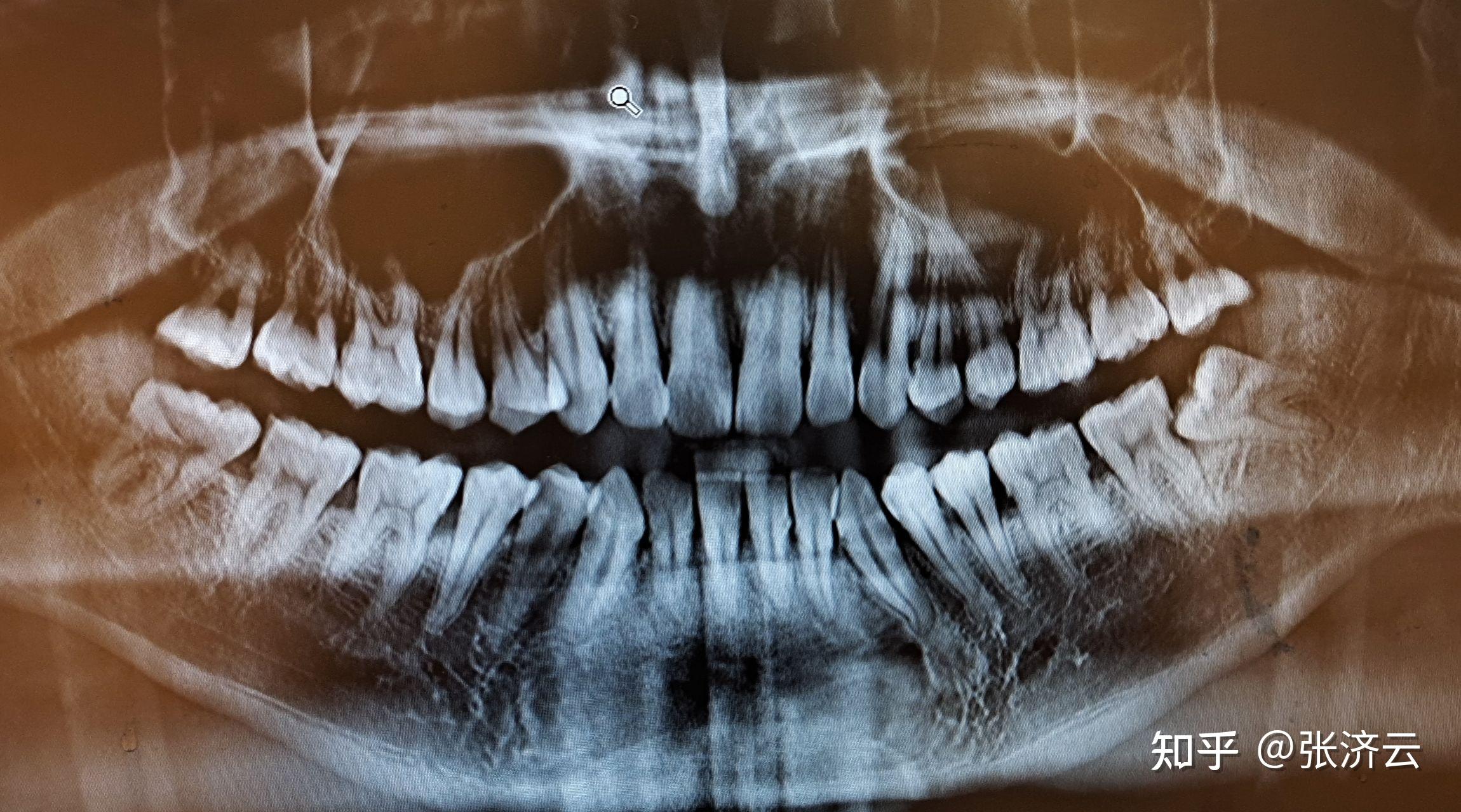
小贴士:由于炎性感染破坏骨质达下颌神经管附近,才用超声骨刀刮治及根
图片尺寸560x764
是为了更好的去除牙龈下的牙结石和牙菌斑,不过目前有超声刮治和手动
图片尺寸632x467
超声龈上洁治和抛光
图片尺寸2666x2000
牙周治疗相当于外科手术,因牙龈炎症的存在,在治疗过程中会有出血现象
图片尺寸692x360
龈下刮治术
图片尺寸1080x810
龈下超声洁治结合甘氨酸龈下喷砂对慢性牙周炎临床指标的影响
图片尺寸1005x441
龈下刮治术后疼吗?分享我的经历
图片尺寸500x241
牙周微创手术之龈下刮治术
图片尺寸357x889
牙周炎龈下刮治前后
图片尺寸1080x810
龈下刮治洗牙补牙
图片尺寸1080x810
做47远中牙周袋的龈下刮治术.
图片尺寸400x263
龈下刮治术
图片尺寸1080x810
龈下刮治后悔吗
图片尺寸2300x1280
深度图解:牙周治疗—龈下刮治术
图片尺寸640x307
龈下刮治术清除看不见的牙齿杀手
图片尺寸690x400
图13.做47远中牙周袋的龈下刮治术.
图片尺寸640x426
超声骨刀刮治并平整远中根面.图19.刮治平整完毕的47远中根面.图21.
图片尺寸560x774