足副舟骨

什么是足的副舟骨?为什么老是会疼痛? - 好大夫在线
图片尺寸448x831
足副舟骨ppt
图片尺寸1080x810
儿童足部副舟骨的治疗_先天性足畸形_先天性足畸形治疗方式 - 好大夫
图片尺寸1080x1022
足副舟骨疼痛
图片尺寸3000x2250
足副舟骨疼?你们脚踝内侧有这个骨头(第一张图片)凸起吗?我记 - 抖音
图片尺寸1440x1920
青少年足痛当心副舟骨疼痛
图片尺寸526x533
足的副舟骨是什么梗看完这篇文章就全明白了
图片尺寸1019x490
当心副舟骨疼痛综合征在作怪!
图片尺寸526x609
带您了解足"副舟骨"综合征
图片尺寸883x1423
足副舟骨疼痛综合症 (原创)
图片尺寸1792x2208
孩子运动后足内侧疼痛?足副舟骨问题家长们要警惕!
图片尺寸1152x864
足副舟骨(即足舟骨之子骨)是舟状骨结节部第二化骨中心的先天性变异.
图片尺寸450x411
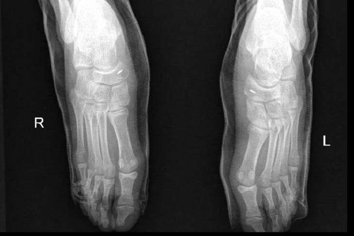
【术后复查x线显示:双足副舟骨已切除,胫后肌腱重建处可见铆钉固定】
图片尺寸729x486
11岁男孩副舟骨疼痛,足垫穿戴2个月对比 男孩初检时的片子很明显的副
图片尺寸2150x1280
足副舟骨痛综合征
图片尺寸466x720
患者主诉:患者为扁平足,双足副舟骨且足部疼痛.
图片尺寸543x362
足舟骨和副舟骨的鉴别ppt
图片尺寸920x690
什么是副舟骨01不知道怎么办才好了.这一下子让婷婷妈着急起来!
图片尺寸552x275
足副舟骨是一种较常见的解剖学变异,其发生是由于舟骨近距侧或舟距
图片尺寸410x246
足副舟骨(即足舟骨之子骨)是舟状骨结节部第二化骨中心的先天性变异.
图片尺寸513x605