足部x光片解剖

足部x线及解剖图谱
图片尺寸1080x1194
足部x光图谱 - 抖音
图片尺寸1080x2400
足正斜位x线影像技术.分享#医学影像 #医学生 #解剖 #放 - 抖音
图片尺寸486x443
踝关节x线解剖
图片尺寸622x1000
足侧位x线解剖图
图片尺寸750x500
人体足部解剖显示拇外翻畸形或拇囊炎.
图片尺寸800x450
图2踝部及足部侧位平片:1.胫骨后端;2.胫骨平台前缘;3.距骨圆顶;4.
图片尺寸1080x619
人足部x线影像
图片尺寸800x601
足部x线及解剖图谱 自用 (来源:鼎湖影像,奈特解剖图谱)
图片尺寸1280x1533
🔍透过这张x光片,仿佛能窥见我们足部的奥秘!
图片尺寸1080x1440
足部x线正常解剖与病变影像
图片尺寸1237x1280
足踝部解剖及影像学诊断,基础必备!
图片尺寸1279x720
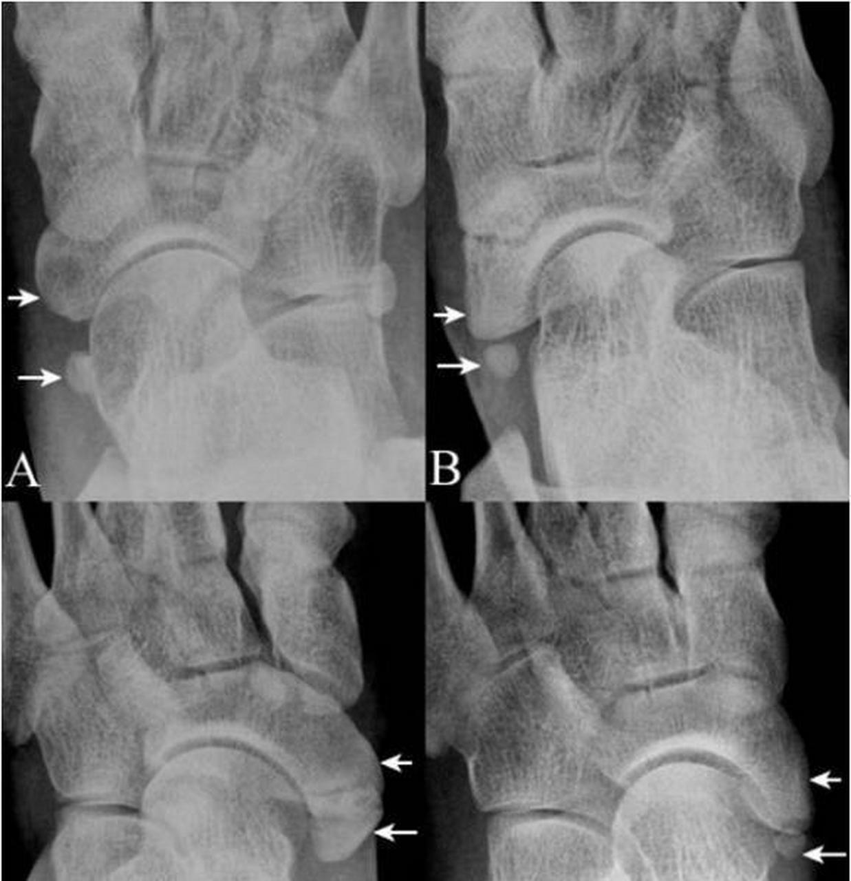
本例患者的右足正位x线片可见第五跖骨基底
图片尺寸1440x1920
脚骨之歌 光影之间,一帧x光片揭示了生命的秘密.
图片尺寸3456x4608
脚骨之歌 光影之间,一帧x光片揭示了生命的秘密.
图片尺寸3456x4608
足部的x光图像
图片尺寸827x1200
🔍透过这张x光片,仿佛能窥见我们足部的奥秘!
图片尺寸1080x1440
脚x射线
图片尺寸732x1200
术前x线片对于足踝部损伤,骨折的处理,如何获得精确复位以及解剖结构
图片尺寸650x485
医学x光片脚掌骨骼
图片尺寸583x350