跖趾关节半脱位

跖趾关节脱位10个月疫情耽误了
图片尺寸3089x2078
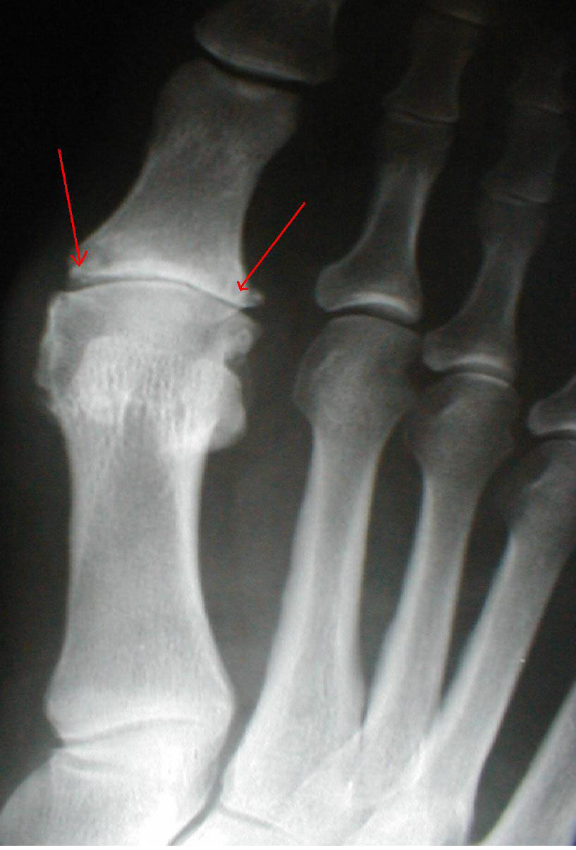
第五趾跖关节半脱位不排除第五趾骨近节基底部骨折?各位老师看看,对不
图片尺寸780x1040
跖骨远端骨折伴跖趾关节脱位非手术治疗方法
图片尺寸4096x3072
跖骨远端骨折伴跖趾关节脱位非手术治疗方法
图片尺寸4096x3072
跖趾关节骨关节炎还有没有专业的名称
图片尺寸3024x4032
男性60岁典型的右跖趾关节红肿热痛
图片尺寸490x427
严重拇外翻,合并类风湿性关节炎,第4-5跖趾关节脱位#拇外翻
图片尺寸1707x1280
请大神看看我的跖趾关节是不是不明显
图片尺寸1080x1439
平乐正骨手法:跖跗关节脱位的治疗
图片尺寸612x333
p data-id="sovgmno7zfeo">跖趾关节属椭圆关节,可作屈伸及轻微的收
图片尺寸800x1243
3㎏泰迪犬第1-3趾骨关节骨折合并脱臼】采用prcl_mini内固定系统进行
图片尺寸673x1137
p data-id="sovgmno7zfeo">跖趾关节属椭圆关节,可作屈伸及轻微的收
图片尺寸1296x1952
p data-id="sovgmno7zfeo">跖趾关节属椭圆关节,可作屈伸及轻微的收
图片尺寸817x1205
p data-id="sovgmno7zfeo">跖趾关节属椭圆关节,可作屈伸及轻微的收
图片尺寸1444x2447
踝关节及跖跗关节骨折脱位,这样处理最后病人会恢复成什么样呢?
图片尺寸3072x2304
纠正"出轨"的拇跖趾关节半脱位,让拇外翻"回家"!
图片尺寸756x756
跖骨基底骨折伴跗跖关节脱位
图片尺寸680x510
痛风总是最先在大脚趾处发作,我们该如何处理跖趾关节呢?
图片尺寸600x400
第一跖趾关节处的痛风石图
图片尺寸750x500
复杂跖跗关节骨折脱位手术全过程记录总结
图片尺寸889x1231