跟腱炎超声

跟腱病变超声诊断
图片尺寸640x462
跟腱病变超声诊断
图片尺寸640x462
超声在跟腱断裂中的临床应用
图片尺寸640x528
踝关节超声提示:右踝关节边缘可见少量骨质增生,外侧可见局部软组织
图片尺寸567x425
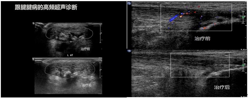
跟腱病变超声诊断
图片尺寸640x462
超声在足踝部检查中的应用
图片尺寸898x645
img_20171116_081143.jpg
图片尺寸4608x3456
关于脚踝扭伤,你需要知道的几件事 - 知乎
图片尺寸1080x1013
腱病治疗后超声评估跟腱断裂跟腱损伤,无论皮肤有没有破损,都建议及时
图片尺寸867x343
跟腱断裂阿喀琉斯之踵achillesheel
图片尺寸1366x856
超声入门贴46-----肌骨超声(腱鞘炎)
图片尺寸768x576
超声评估跟腱断裂应注意区分部分还是完全断裂,断端有无回缩,远端断端
图片尺寸1260x710
【科普】什么是肌骨超声?肌骨超声的临床意义
图片尺寸640x478
典型病例:踝管综合征
图片尺寸1080x717
踝关节周边肿块 - 超声医学讨论版 - 爱爱医医学论坛 - 爱爱医医学网
图片尺寸720x576
论坛
图片尺寸750x1000
图3 跟腱超声长轴(上图),短轴(下图)超声自肌-腱结合部开始至跟骨附着
图片尺寸1484x322
金华田氏医院放射科
图片尺寸1198x1598
足底跖腱膜炎的超声表现
图片尺寸900x504
如何揪出幕后的真正元凶,超声检查来帮您
图片尺寸1678x980