跟距骨桥

板凳回复扣子732009-08-22 15:06:44支持跟距骨桥 跟骨距骨桥是足
图片尺寸1336x1756
跟骨距骨桥影像
图片尺寸1200x4910
骨三科在学科带头人景斗星的带领下完成多例踝关节镜下跟距骨桥切除术
图片尺寸600x540
跟距骨桥的微创治疗-山东大学第二医院足踝外科特色技术 - 好大夫在线
图片尺寸1728x993
跟骨骨折的诊断及治疗ppt
图片尺寸1080x810
崴脚后疼痛之--跟距骨桥 - 好大夫在线
图片尺寸1000x674
跟距骨桥的微创治疗(关节镜下切除术) - 微医(挂号网)
图片尺寸640x405
跟骨骨折ppt
图片尺寸1080x810
【请教】这是距骨桥吗?
图片尺寸488x752
跟距骨桥的微创治疗(关节镜下切除术) - 微医(挂号网)
图片尺寸411x322
认识跟痛症
图片尺寸1152x864
踝关节镜下切除跟距骨桥
图片尺寸2667x2000
跟距骨桥的微创治疗-山东大学第二医院足踝外科特色技术 - 好大夫在线
图片尺寸672x474
跟距骨桥记录一次北京积水潭医院的足踝手术
图片尺寸720x405
年轻人的跟骨
图片尺寸1262x1115
ct三维重建,石院长发现患者脚里跟骨和距骨间长出来了一个像桥一样的
图片尺寸654x344
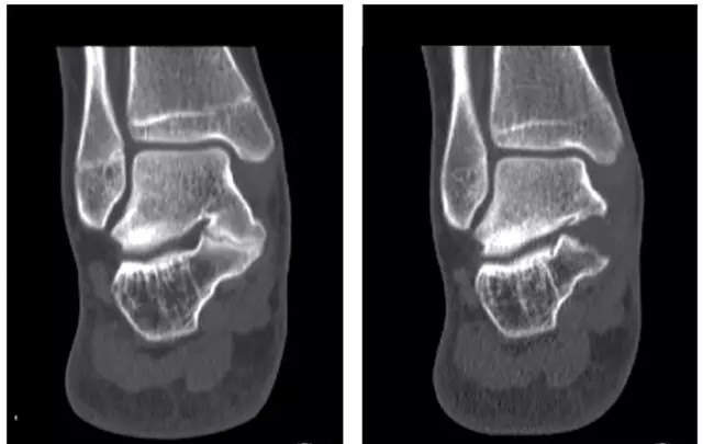
本征象用于描述跟骨距骨桥(或称跟距融合)的平片侧位表现,正位表现为
图片尺寸1186x666
跟距骨桥记录一次北京积水潭医院的足踝手术
图片尺寸720x405
讨论请教左跟骨右距骨粉碎骨折最佳方案
图片尺寸800x600
跟骨骨折ppt
图片尺寸1080x810