跟骨骨骺

孩子脚后跟疼痛跟骨骨骺炎
图片尺寸1080x954
诊断为跟骨骨骺炎.
图片尺寸1080x844
患儿跟骨骨骺密度不均匀增高
图片尺寸625x509
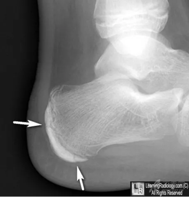
请注意:儿童跟骨骨骺不同与其他部位的骨骺,密度均匀,致密(绿箭
图片尺寸2333x1429
跟骨骨骺骨软骨病
图片尺寸553x282
小武日记之不可忽视的同学玩笑
图片尺寸3072x4096
下面是他左右两侧的x片,外侧绷带状的东西是他的裤子主诉左跟骨处疼痛
图片尺寸1110x1242
双侧跟骨骨折闭合复位
图片尺寸3024x4032
什么是塞弗氏病(跟骨骨骺炎)? | 双语字幕 | 医学动画 | 医学英语
图片尺寸1152x720
跟骨后缘多个骨化中心骨骺所致
图片尺寸640x668
下面是他左右两侧的x片,外侧绷带状的东西是他的裤子主诉左跟骨处疼痛
图片尺寸1106x1258
跟骨骨折闭合复位1例
图片尺寸2898x3332
四肢骨骼解剖和骨折ppt
图片尺寸1080x810
骨囊肿,脂肪瘤,骨巨细胞瘤 跟骨结节骨骺出现年龄:一般男性为7—11岁
图片尺寸1080x810
踝关节骨骺线x线图_有来医生
图片尺寸750x500
跟骨正常与变异
图片尺寸960x720
右侧跟骨骨折
图片尺寸2484x1813
跟骨骨骺约在12~14岁时闭合,主要发病原因也是大量运动导致跟腱点与
图片尺寸610x449
跟骨骨折差那么一点点
图片尺寸2578x3203
跟骨骨折微创是趋势
图片尺寸3456x4608