转移性肿瘤细胞

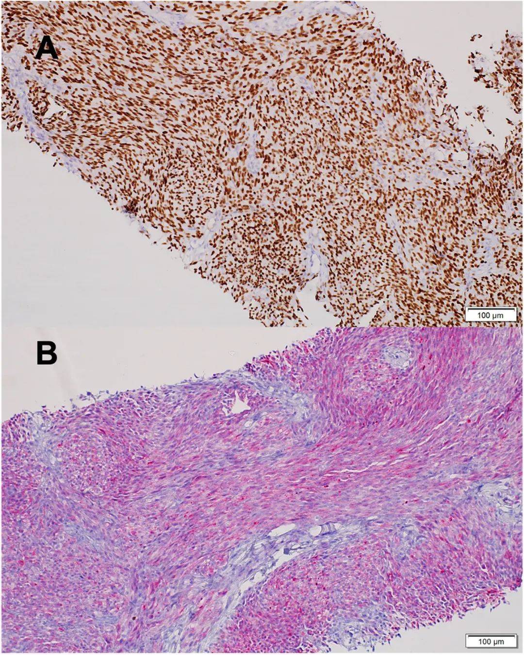
【病例分享】骨髓转移性恶性黑色素瘤_皮肤_临床_恶性肿瘤
图片尺寸1024x768
转移性乳腺癌淋巴结的显微照片
图片尺寸1200x794
转移癌细胞图片下载
图片尺寸800x451
data-lemmaid="151056">癌症 /a>细胞在转移过程 a target="_blank"
图片尺寸1200x900
原创一个癌细胞发展到1厘米需十几年时间为什么转移速度却这么快
图片尺寸640x412
肿瘤的转移是肿瘤细胞从原始部位通过血液或淋巴系统传播到体内其他
图片尺寸640x480
恶性肿瘤细胞不仅可以通过直接侵犯转移到邻近的组织或者器官,还能
图片尺寸974x1028
1,乳腺原发肿瘤:透明细胞肾细胞癌转移至乳腺需要与乳腺原发或转移的
图片尺寸1080x668
癌细胞转移,扩散前,身体上通常会有哪些表现?医生:注意多观察
图片尺寸660x348
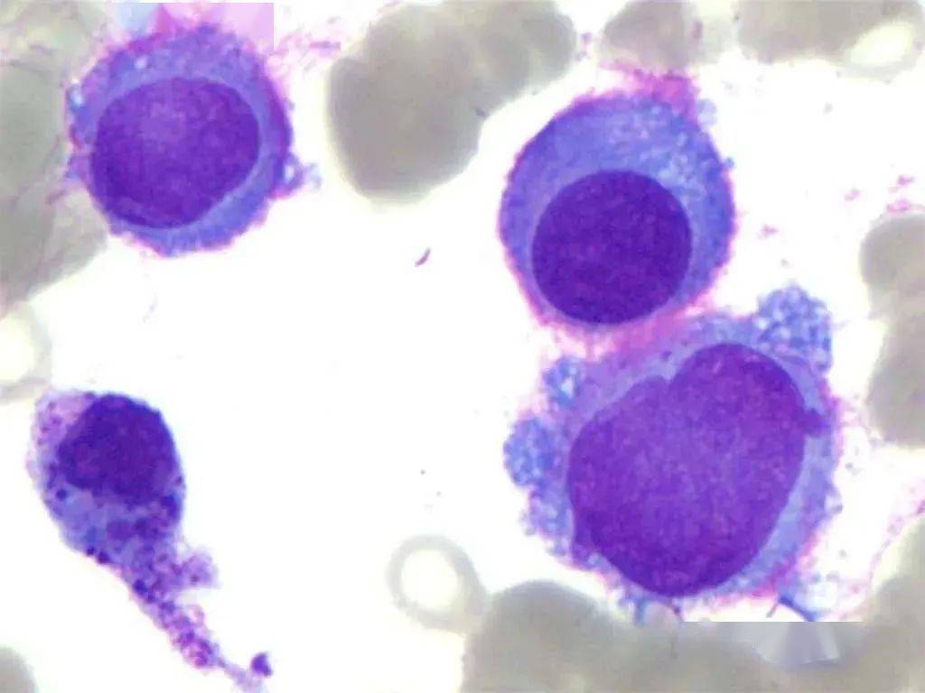
【病例分享】骨髓转移癌合并类白血病反应_检查_膀胱_细胞学
图片尺寸990x754
癌细胞是如何发生转移的?_肿瘤_癌症_血管
图片尺寸554x447
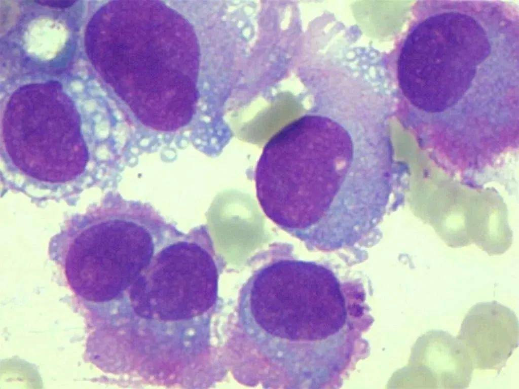
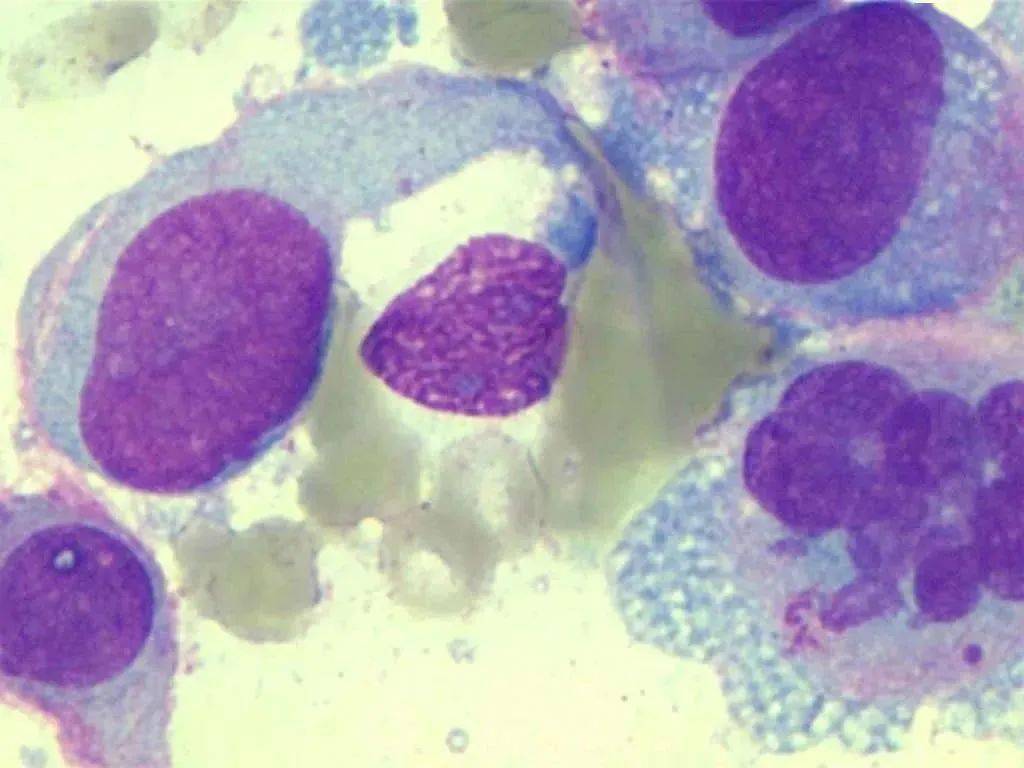
四例淋巴结转移癌案例分享_检验_细胞_形态学
图片尺寸1080x611
治疗助力转移性透明细胞肉瘤患儿实现疾病稳定_患者_进行_恶性肿瘤
图片尺寸1080x1349
【衡道丨病例】轻松学病理——1例罕见乳腺转移性透明细胞肾细胞癌
图片尺寸996x551
细胞凋亡;在体内tfens优先在乳腺癌组织和肺转移部位积累,抑制肿瘤
图片尺寸1215x1588
间变大细胞淋巴瘤|骨髓|白血病|霍奇金|恶性肿瘤|全国肿瘤_网易订阅
图片尺寸660x495
【病例分享】骨髓转移性恶性黑色素瘤_皮肤_临床_恶性肿瘤
图片尺寸1024x768
吉林大学胡鑫团队发文:揭示乳腺癌骨转移新机制_研究_细胞_相关
图片尺寸569x334
【病例分享】骨髓转移性恶性黑色素瘤_皮肤_临床_恶性肿瘤
图片尺寸1024x768
2.积极治疗出现脉管癌栓是复发转移的预警信号.
图片尺寸1925x1283